태평동치과 잇몸이 부었어요.
뼈이식을 포함한 어금니임플란트 사례

치아는 가능한 한 보존하는 것이 좋지만,
다음과 같은 경우에는 발치가 불가피할 수 있습니다.
먼저, 잇몸 뼈가 많이 녹아 치아를
지지할 수 없을 때입니다.
이는 치주염이 오래 지속되며
생기는 경우가 많습니다.
또, 치아가 심하게 부러졌거나 충치가
신경 아래 뿌리까지 진행된 경우,
혹은 치아 주위에 만성 염증이 반복되는
경우에도 발치를 고려하게 됩니다.
이처럼 자연치아를 유지하는 것이
어렵다고 판단될 때,
첫 단계로 발치가 진행됩니다.
오늘은 잇몸이 많이 붓고 아파서
태평동치과에서 발치 후 임플란트를
진행하셨던 환자분의 사례를
소개해 드리도록 하겠습니다.

위 환자분은 50대 중반의 남성분으로,
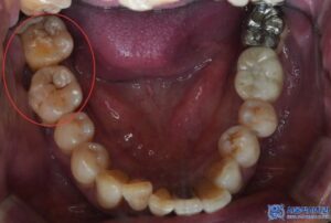
오른쪽 위, 아래 어금니 잇몸이 많이 붓고
흔들림과 통증이 있다고 하셨습니다.

진단 결과, 상악 우측 작은 어금니와
하악 우측 큰 어금니 2개 부위에
만성복합염증이 광범위하게 퍼져 있었고,
염증으로 인해 뼈도 많이
손실된 상태였습니다.
이로 인해 세 치아 모두 흔들림이 심했고,
보존하기 어려운 상태였기에
발치 후 임플란트를 결정하였습니다.

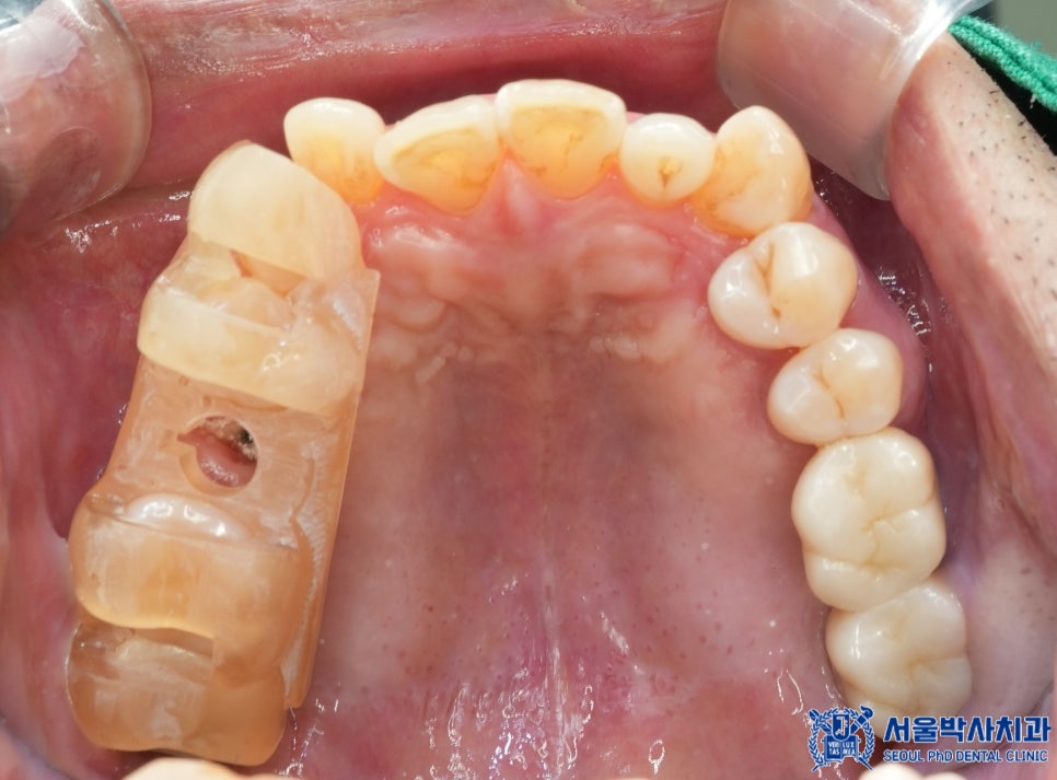
치아를 발치한 후에는
무절개 방식의 임플란트 식립을
진행하기로 하였습니다.

무절개 임플란트는
말 그대로 잇몸을 절개하지 않고
임플란트를 식립하는 방식으로,
컴퓨터 분석을 통해 미리 계산된
정확한 위치와 각도로 위 사진과 같은
수술 가이드를 제작하고,
가이드를 이용해 임플란트를 심기 때문에
수술 부위의 오차를 줄일 수 있습니다.
가이드는 컴퓨터 분석의 정밀한 계산을 통해
고성능 3D프린터로 제작됩니다.
무절개 방식의 가장 큰 장점은
출혈이 거의 없고 절개와 봉합이 없기 때문에
통증과 부기가 적으며
회복이 빠르다는 점입니다.

또한 임플란트를 식립하는 “각도”는
굉장히 중요한 요소인데요.
임플란트의 각도에 따라
임플란트의 안정성과
오래 사용하는 수명이
달라질 수 있습니다.

서울박사치과는 임상경력 많은 의료진과
최신 디지털 장비의 분석을 통해,
식립 각도와 위치를 정밀하게 계산하여
성공률 높은 임플란트 수술을 진행하고 있습니다.

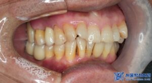
수술 후 약 3개월간의
치유기간을 거친 후,
최종 임플란트 보철물을
세팅해드렸습니다.
서울박사치과에는
원내 기공소가 있기 때문에
더욱 정밀하게 보철물을
제작할 수 있는데요.
특히 10년 이상의 경력을 가진
전문 기공사가 상주하고 있어
퀄리티 높은 보철물 제작이 가능합니다.
또한 맞춤형 지대주를 사용하여
음식물이 끼임이 적고
환자 구강 구조에 완벽히 맞춰
보철을 제작하고 있습니다.
내구성이 높은 재료를 사용하여
오래 사용할 수 있으며,
자연치아처럼 심미적인 면도 우수합니다.
무엇보다도 원내에 기공소가 있다 보니,
혹시라도 보철물이 어색하거나
불편한 점이 있을 경우
빠른 수정 및 조정이 가능하다는 점에서
환자분들께서 크게 만족하고 계십니다.

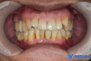
환자분은 처음 내원하셨을 때
흡연자였고 잇몸 상태가
전반적으로 좋지 않았습니다.

하지만 저희가 내원하실 때마다 금연의 중요성을
강조드렸고 실제로 수술을 받으신 후로는
많이 자제하셔서 회복도 매우 잘 되셨고,
현재는 임플란트를 아주 잘 사용하고 계십니다.

이번 사례처럼 잇몸이 많이 붓고
통증이 지속되는 경우,
단순한 염증으로만 넘기지 마시고
꼭 정밀한 진단을 받아보시길 바랍니다.
자연치아를 보존하는 것이 최선이지만,
상황에 따라 발치가 불가피할 수도 있으며,
그 이후엔 정밀하고 안정적인
임플란트 치료가 중요합니다.
태평동치과 서울박사치과는 무절개 임플란트,
정확한 수술 가이드, 그리고 원내 기공소를 통한
맞춤형 보철로 환자분 한 분 한 분의 상황에 맞춘
최적의 치료를 제공해드리고 있습니다.
언제든지 상담 및 진료 예약 가능하니,
궁금한 점 있으시면
태평동치과 서울박사치과로
편하게 문의주세요.
감사합니다! 😊
*모든 증례 사진은 의료법 제23조, 제 56조에 의거하여,
당사자의 동의하에 게시하였습니다.
*치료 사진은 모두 본원에서 치료한 환자분의 사진입니다.
*치료 사진은 모두 동일인의 사진이며,
동일조건에서 촬영하였습니다.
*개인의 차이에 따라 시술 및 수술 후
부작용이 발생할 수 있으며,
의료진과 충분한 상담을 받으시기 바랍니다.