태평동치과 앞니가 흔들려요
(신경치료를 동반한 앞니크라운으로 자연치아 살린 사례)

안녕하세요.
태평동치과 서울박사치과입니다.
치아가 흔들리면 대부분의 환자분들이
“이제 임플란트를 해야 하나?” 하고 걱정하십니다.
하지만 모든 흔들리는 치아가 발치 대상은 아닙니다.
적절한 치료를 받으면 자연치아를
최대한 살릴 수 있습니다.
오늘은 앞니가 흔들려서 태평동치과에 내원하셨던
환자분의 사례를 소개해 드리겠습니다.
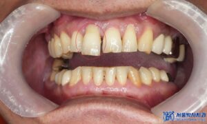
위 환자분은 위 앞니가 심하게 흔들리면서
씹을 때마다 불편감을 느낀다고 하셨는데요.
한 번 치료를 받더라도 제대로 받고 싶다는 마음으로
다소 먼 거리였지만, 다른 환자분의 소개를
받고 본 원에 내원해 주셨습니다.
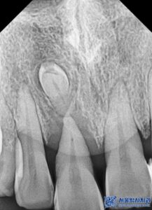
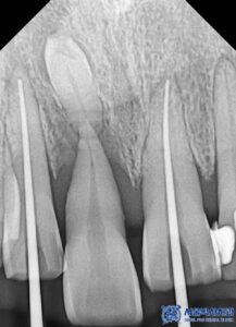
진단 결과, 문제의 치아는 위 앞니 중에서도
정중앙에 위치한 오른쪽 큰 앞니로,
치아 상태도 많이 나빠져 있었고
만성 치주염으로 인해 치근 끝에
염증이 크게 퍼져 흔들림이 있는 상태였습니다.
결국, 해당 치아는 살릴 수 없는 상태였기에
발치를 진행하기로 하였으며,
치근낭(치아 뿌리 주변에 형성된 염증 조직)도
함께 제거하고 염증으로 잇몸뼈가 녹은 부위는
잇몸뼈를 이식하여 잇몸이
꺼져 보이지 않도록 진행하기로 하였습니다.
발치를 하고 난 이후에는 임플란트나 브릿지와 같은
치료 방법을 고려해 볼 수 있는데요.
환자분의 경우, 앞니 양옆에 위치하고 있는 치아들이
여전히 구조적으로 유지가 가능한 상태였고,
무엇보다 가운데에 매복되어 있는 치아를
발치하지 않고도 치아의 기능을
회복할 수 있었기 때문에 임플란트 대신
브릿지 치료를 진행하기로 하셨습니다.
단 치아를 삭제한 후 크라운을 수복해야 하므로
치아가 시리지 않도록 신경치료를 진행하여
최대한 자연치아를 보존하기로 하였습니다.
보통 신경치료는 신경을 제거한 후
수차례 소독 과정을 거치면서 몇 주에 걸쳐
치료가 진행됩니다.
하지만 이렇게 치료 기간이 길어지면,
신경관 내부가 다시 감염될 위험이 커지고,
환자분도 여러 번 치과를 방문해야 하는
불편함이 생깁니다.
하지만 서울박사치과에서는 상황에 따라
당일 신경치료도 시행하고 있어
불필요한 내원을 하지 않아도 됩니다.
당일 신경치료란, 한 번의 치료로 신경을 제거하고
치아 뿌리 끝까지 깨끗하게 소독한 후
바로 충전하는 신경치료 방법으로,
신경치료 과정에서 발생할 수 있는 재감염 위험을
줄이고 치료 기간도 단축할 수 있습니다.
또한, 당일 신경치료는 치료 과정이 신속하면서도
꼼꼼하게 진행되기 때문에 환자분 입장에서는
회복이 더 빠르고 추가 내원 부담이 없다는
장점이 있습니다.
서울박사치과에서는 치아를 살릴 수 있는
조금의 가능성도 되돌아보면서
진료하고 있으며,
치아 뿌리 하나하나 세심하게 찾고
진심을 기울여서 진료하고 있습니다.
또한 신경치료에서 가장 중요한 것은 치아 내부를
얼마나 깨끗하게 소독하고,
이후 어떤 재료로 신경관을 채우느냐입니다.
대부분의 치과에서는 신경치료 후 신경관을 고무 성분
(가타퍼차, Gutta-Percha)으로
충전하는 방식으로 마무리합니다.
하지만 서울박사치과에서는
더욱 철저한 치료를 위해 MTA
(바이오세라믹 재료)를 사용합니다.
| 서울박사치과 MTA 신경치료 | 일반 신경치료 | |
| 성부 | 바이오 세라믹 | 고무 |
| 치근재생효과 | 있음 | 없음 |
| 살균효과 | 높음 | 없음 |
| 통증완화효과 | 높음 | 없음 |
| 내원 횟수 | 평균 2~3회 | 4~5회 |
강력한 밀폐력
신경관 내부를 단단하게 밀봉하여
재감염을 예방합니다.
우수한 생체 적합성
치아 조직과 잘 결합하여 치유를 돕고,
조직 거부 반응이 적습니다.
우수한 치료 예후
기존 고무 성분보다 염증 회복이 빠르고,
치아를 더욱 오래 유지할 수 있습니다.
MTA 신경치료는 일반적인 신경치료에 비해
재료비가 비싸지만 서울박사치과에서는
더 좋은 치료 결과를 위해 MTA 신경치료를
고집하고 있습니다.
환자분이 보지 못하는 치아 내부까지도
최상의 재료를 사용하여,
하나를 치료하더라도 제대로 치료하는 것이
태평동치과 서울박사치과의 원칙입니다.
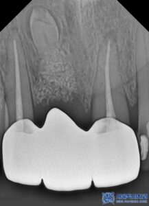
신경치료를 마무리 한 후에는
지르코니아 브릿지 크라운을 제작하였습니다.
서울박사치과에서는 자체 운영하는
원내 기공소를 보유하고 있으며,
10년 이상의 경력을 가진 기공실장님이
직접 크라운을 디자인합니다.
그렇기 때문에 단순히 보철물을 제작하는 것이 아니라,
환자 개개인의 치아 모양과 색상을 정밀하게
맞추어 자연스러운 크라운이 제작 가능합니다.

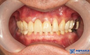
치료 마무리 후 사진입니다.

치료 후 환자분께서 거울을 보시면서
이렇게 자연스럽게 치료될 줄 몰랐다고 하시며,
임플란트 해야 하는 줄 알았는데 자연치아를
살릴 수 있어서 너무 만족한다고 좋아하셨습니다.

태평동치과 서울박사치과에서는
치아 하나하나를 소중하게 생각하며,
최선의 치료법을 찾아드립니다.
치아 문제로 고민 중이시라면,
언제든 서울박사치과에서 상담받아 보세요.
건강한 자연치아를 지킬 수 있도록
최선을 다하겠습니다!
*모든 증례 사진은 의료법 제23조, 제 56조에 의거하여,
당사자의 동의하에 게시하였습니다.
*치료 사진은 모두 본원에서 치료한 환자분의 사진입니다.
*치료 사진은 모두 동일인의 사진이며,
동일조건에서 촬영하였습니다.
*개인의 차이에 따라 시술 및 수술 후 부작용이 발생할 수 있으며,
의료진과 충분한 상담을 받으시기 바랍니다.