신흥동치과
치아가 너무 아파서 빼고 싶어요
(보험임플란트 및 신경치료 크라운 치료 사례)

안녕하세요.
신흥동치과 서울박사치과입니다.

치아에 통증이 생기는 다양한
원인 중 하나는 치아 파절 인데요.

특히 신경치료를 진행했던 치아에서도
심한 통증이 지속된다면 치아 내부에
문제가 남아있거나 치아가 파절되었을
가능성이 높습니다.

오늘은 이러한 사례로 중앙동치과 서울박사치과에
내원하셨던 60대 환자분의
사례를 소개해 드리도록 하겠습니다.

 

 

위 환자분께서는 예전에 다른 치과에서
신경치료를 받았던 치아가 너무 아프다며
서울박사치과를 찾아주셨습니다.

아픔을 참다 참다 결국 치아를
빼달라고 하실 정도로 통증이 심하셨는데요.

또한 환자분께서는 상악에 사용 중인
부분틀니도 불편하다고 하시며,
통증 문제를 해결하는 김에
임플란트 치료까지 받고 싶다고 말씀하셨습니다.

 

  

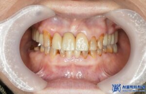
파노라마 X-ray를 촬영해보니 문제가
확연히 드러났습니다.

 

과거에 신경치료를 받았던 치아가
뿌리까지 파절되어 있었는데요.

치아가 파절되면 음식물을 씹을 때마다
큰 통증이 생길 수밖에 없고,
신경치료로는 더 이상 회복이 불가능하기 때문에
발치 후 임플란트를 진행해야 합니다.

 

 

또한 상악 부분틀니는 장기간 사용으로 인해
흔들거리고 잇몸이 눌려 통증이 생기며
제대로 기능하지 못하고 있었습니다.

환자분과 상의 끝에, 불편했던 부분 틀니 대신
임플란트를 함께 진행하기로 결정하였습니다.

 

 

서울박사치과치과를 방문해 주시는 분들 중에는
보험 임플란트에 대해 궁금해하시는 분들이 많습니다.

임플란트는 치아 하나를 복구하는 데
드는 비용이 상대적으로 높기 때문에,
건강보험 혜택을 받을 수 있다면
비용 부담을 크게 줄일 수 있습니다.

보험 임플란트는 만 65세 이상 환자분들을
대상으로 건강보험이 적용됩니다.

하지만 단순히 나이만 충족한다고
모든 임플란트가 보험 적용 대상이 되는 것은 아닙니다.

보험 임플란트는 평생 2개까지
보험 적용을 받을 수 있기 때문에
그 이상의 임플란트는 비보험으로 진행됩니다.

또한 보험 임플란트는 자연치아가
남아있는 경우에만 적용되며,
상악동 거상술이나 뼈이식과 같은
부가적인 수술은 보험혜택을 받을 수 없습니다.

보험 임플란트를 적용받으면 전체 치료비의
약 30%만 본인 부담으로 치료가 가능합니다.

예를 들어, 보험 임플란트 1개당 비용이
100만 원이라고 가정했을 때,
환자분은 약 30만 원 정도만 부담하시면 됩니다.
(치과마다 약간의 차이가 있을 수 있습니다)

위 환자분께서도 만 65세 이상으로,
잔존 치아가 남아있고 보험 임플란트를
진행하신 적이 없기에 2개의 보험임플란트와
나머지 임플란트는 비보험으로 진행하기로 하였습니다.

 

 

환자분은 당뇨를 앓고 계셨는데,
당뇨 환자분들은 일반적으로 상처 회복 속도가 느리고
염증 발생 위험이 높아 치과 수술 시
더욱 신중히 접근해야 합니다.

그래서 서울박사치과에서는 환자분의 안전을
최우선으로 고려하여 무절개 임플란트를 선택했습니다.

무절개 임플란트란?

일반적인 잇몸 절개 방식이 아닌,
컴퓨터 분석과 정교한 수술 가이드를 통해
최소 침습으로 임플란트를 식립하는 방식입니다.

 

 

개인맞춤형으로 제작된 수술가이드를 착용하면
위 사진처럼 정확한 위치에 임플란트 식립이
가능하기에 무절개로 임플란트가 가능합니다.

서울박사 무절개 임플란트의 특 장점

1) 컴퓨터 분석으로 미리 임플란트
식립 위치를 정확하게 파악
2) 개인맞춤형으로 제작된 수술가이드를
활용하여 무절개 수술 가능
3) 회복이 빠르고 붓기와 출혈 감소.
4) 풍부한 임상경력의 숙련된 의료진

 

 

이번 임플란트 식립에서 특히 상악에는
상악동 거상술이 필요했는데요,

이는 상악의 뼈가 얇아 임플란트 식립을 위해
추가적인 공간과 지지를 확보해야 했기 때문입니다.

 

 

그래서 임플란트 식립 전 상악동 거상술을 진행한 후
안정적으로 임플란트 식립을 진행하였습니다.

임플란트를 진행하면서 남아 있는 자연치아도
꼼꼼히 확인하였습니다.

자연치아는 가능하면 최대한 보존하는 것이
환자분의 구강 건강과 비용 면에서
큰 장점이 있습니다.

 

 

그래서 보존이 가능했던 앞니들과 어금니는
신경치료 후 지르코니아 크라운으로 씌워
튼튼하고 자연스러운 치아로 복원하였습니다.

 

 

치료 마무리 후 사진입니다.

환자분께서는 원래 다른 치과를 다니고 계시다가,
그 쪽에서 신경치료한 치아가 너무 아파서
중앙동치과 서울박사치과에 오게 되었는데
신경치료부터 임플란트 수술까지
하나도 아프지 않았다며 매우 만족해 하셨습니다.

 

 

또한 불편했던 상악 부분틀니 대신
임플란트를 식립한 후,
틀니로 인한 잇몸 통증에서
완전히 해방되어 너무 좋다고 하셨습니다.

 

신경치료 후 치아가 아프거나 틀니로 인해
불편함을 느끼고 계시다면,
문제를 미루지 마시고 서울박사치과를 찾아주세요.

중앙동치과 서울박사치과는 환자 개개인에 맞춘
맞춤형 치료와 무절개 임플란트로
여러분의 치아 건강을 되찾아드릴 것을 약속드립니다.

 

서울박사치과는 항상 환자분의 요구를
최우선으로 생각하며,
만족스러운 치료 결과를 제공하기 위해
노력하겠습니다.

서울박사치과의 대표원장님께서는
現 서울대학교 치과병원 겸임교수로
매주 서울대치과병원에서 학생들에게 교육하고
진행한 수술에 대한 연구를 실장님과
매일 진행해 대표원장의 전문성, 정직,
진심을 담은 진료를 약속드릴 수 있습니다.

감사합니다.

 

*모든 증례 사진은 의료법 제23조, 제 56조에 의거하여,
당사자의 동의하에 게시하였습니다.
*치료 사진은 모두 본원에서 치료한 환자분의 사진입니다.
*치료 사진은 모두 동일인의 사진이며,
동일조건에서 촬영하였습니다.
*개인의 차이에 따라 시술 및 수술 후 부작용이 발생할 수 있으며,
의료진과 충분한 상담을 받으시기 바랍니다.

문의 전화

031-747-2884

네이버 예약

네이버 예약