신흥동치과 치과 공포증 있는 환자분 MTA 신경치료와 어금니 크라운, 인레이로 자연치아 살린 사례

안녕하세요.
신흥동치과 서울박사치과입니다.
치과 치료를 떠올리면
통증에 대한 걱정부터
앞서는 분들이 많습니다.
특히 과거의 아픈 기억이나
소리·냄새에 대한 불안으로
치과공포증을 겪는 경우에는
충치가 있어도 치료를
미루게 되기 쉽습니다.
하지만 최근 치과 치료는
예전과 달리 통증을 줄이기 위한
다양한 방법들이 적용되고 있습니다.
마취 단계에서부터
통증을 줄이는 기술은 물론,
치료 중 불편감을 세심하게 조절하는
시스템 덕분에 인레이, 신경치료,
크라운과 같은 충치 치료도
비교적 편안하게 받을 수 있습니다.
중요한 것은 공포를
참고 버티는 것이 아니라,
통증 완화 방법을 충분히 활용해
불안 없이 치료를 시작하는 것입니다.


오늘은 치과공포증이 있는 환자분의
신경치료 및 크라운, 인레이를 진행한
사례를 소개해 드리겠습니다.
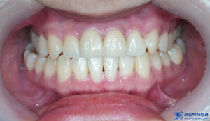
이번에 내원하신 환자분은
치과공포증이 심하신 분이시고
타 치과에서 검진 받으시면서
어금니쪽 충치 진단을 받으셨다고 하셨습니다.
치료를 안 아프게 받아볼 수 있는 곳으로
고민하시다가,
본원에서 안 아프게 치료 받았다는
후기를 찾아보시고 오셨습니다.

확인 결과,
오른쪽 위·아래 치아에
충치가 진행되어 있었고,
이로 인해 치주염과 치수염까지
동반된 상태였습니다.

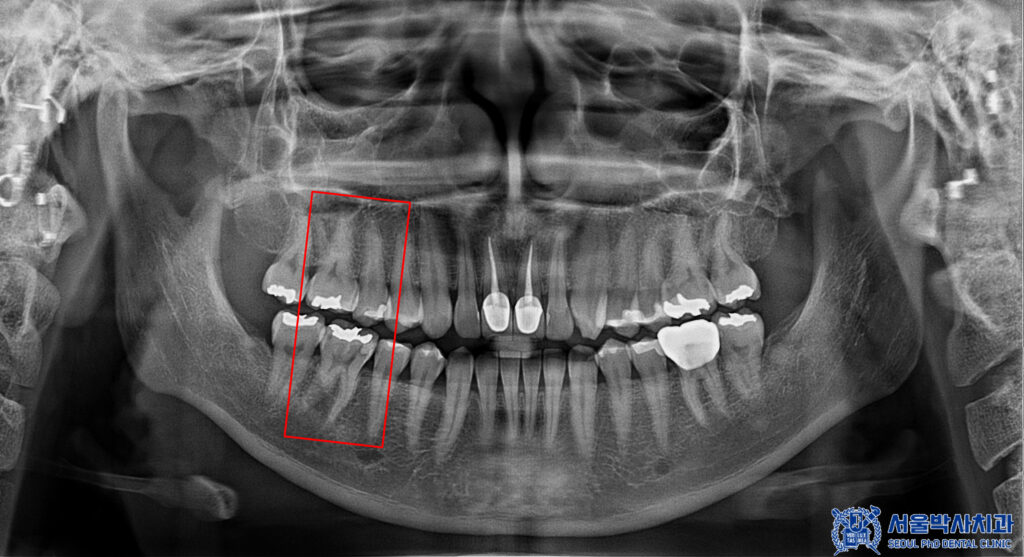
또한 정밀한 확인을 위해
3D CT를 촬영하였습니다.
위쪽 치아 뿌리 끝 염증을
확인할 수 있었습니다.
이에 따라 단순한 충치 치료가 아닌,
감염된 신경을 제거하고
염증을 정리하는 신경치료를
우선적으로 진행하여
가능한 한 자연치아를 살리는 방향으로
치료 계획을 세웠습니다.

환자분께서는 치과공포증이 심하셨기 때문에
본원에서 운영중인
다양한 단계별 통증완화 방법으로
편안하게 치료 받아보실 수 있도록
노력하였습니다.

신경치료에 들어가기 전
신흥동치과 서울박사에서는
먼저 마취 스프레이를 포함한
표면마취를 사용하였습니다.
이후 통증 저감 마취를 사용하여
잇몸 마취부터 편안하게
받아보실 수 있도록 했습니다.
또한 미세침마취를 사용하여
더 깊은 곳까지 한번 더 마취함으로써,
신경치료 시에 편안하실 수 있도록
조치하였습니다.

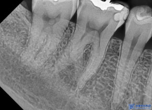
먼저 충치를 제거하였습니다.
충치가 비교적 깊은 위치까지
진행되어 있었으며,
그 영향으로 치아 뿌리 끝까지
염증이 퍼진 상태로 확인되었습니다.
이렇게 신경치료를
진행하였습니다.

본원은 치아를 살릴 수 있는
조금의 가능성도 되돌아보며
진료하고 있으며,
치아 뿌리 하나하나 세심하게 찾고
진심을 기울여서 진료합니다.
본원은 MTA 신경치료를 진행하고 있는데,
우리 치과 신경치료의 경우,
보이지 않는 곳일지라도
좀 더 좋은 재료를 사용하여
하나를 치료해도 제대로 하고자
노력하고 있습니다.
특히 일반적으로 신경치료할 때
고무성분으로 충전하여 마무리를 하곤 하는데
신흥동치과 서울박사는 MTA라는
바이오세라믹 성분을 사용하여
신경치료를 하고 있습니다.
| 서울박사치과 MTA 신경치료 | 일반 신경치료 | |
| 성분 | 바이오세라믹 | 고무 |
| 치근재생효과 | 있음 | X |
| 살균효과 | 높음 | X |
| 통증완화효과 | 높음 | X |
| 내원횟수 | 평균 2~3회 | 4~5회 |

또한 같이 치료하기로 했던
다른 치아들은 충치 제거 후
확인해 보니,
많이 깊지 않아 신경치료 없이
크라운으로 마무리 하기로 하였습니다.

이렇게 신경치료 및 크라운을
마무리 한 뒤 환자분께서는
원래 치과공포증으로 인해
겁이 많았는데 신경치료 받고
안 아팠다고 하시면서
다른 치료도 희망하신다고 하셨습니다.
그래서 또 충치가 있었던
오른쪽 다른 치아들의
기존 충전재와 보철물 제거 후
새롭게 인레이를 진행하기로 하였습니다.

우리 치과는 자체 운영 중인
원내기공소에서 모든 보철물을 제작하여
맞춤형 디자인 보철물을 단축된 시간에
제작해 드리고 있습니다.
원내기공소에는 10년 차 이상 경력의
기공실장님이 개인별 구강 스캔데이터를 바탕으로,
직접 정교하게 보철물을 디자인하여
제작하고 있습니다.
원내기공소에 다양한 장비
(3D프린터, 고정밀 밀링머신 등)들을
완비하여 인레이, 크라운, 임플란트 보철물까지
모두 자체적으로 퀄리티 있게
제작이 가능합니다.
또한 우수한 품질의 지르코니아, 세라믹 등의
보철물 원재료를 직접 엄선하여
구입하고 실제 제작에 사용합니다.
내구성이 우수하여,
오래 튼튼하게 사용할 수 있고
자연치아와 매우 유사한 투명도와
색깔 구현이 가능하여
심미성을 높입니다.


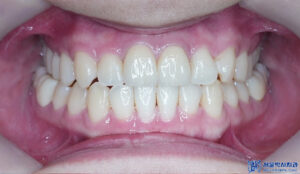
이렇게 인레이까지 진행하여
전체적인 충치치료가 마무리 되었습니다.

마무리 후 사진입니다.
환자분께서는 치과공포증이 워낙 심하셔서
처음에는 신경치료도 의식하진정요법으로
받을 수 있는지 문의하셨는데요.
본원은 다양한 단계별
통증케어시스템을 운영 중으로
우선 받아보기로 하였습니다.
결과적으로 안 아팠고 괜찮으셨다고
치료받을 만하셨다고
굉장히 안심해 주시고
만족해 주셨습니다.
이처럼 신흥동치과 서울박사는
치과공포증이 있는 분들도
부담 없이 치료를 시작하실 수 있도록
통증과 불안을 세심하게 고려한
진료 환경을 제공하고 있습니다.
위 사례처럼 치료할 부위가 있으나
치과공포로 인해 망설이고 계신다면
신흥동치과 서울박사에서
충분한 설명과 단계적인 진료를 통해
함께 부담을 줄여가며
치료를 시작해 보시길 바랍니다.
감사합니다.
*모든 증례 사진은 의료법 제23조, 제 56조에 의거하여,
당사자의 동의하에 게시하였습니다.
*치료 사진은 모두 본원에서 치료한 환자분의 사진입니다.
*치료 사진은 모두 동일인의 사진이며,
동일조건에서 촬영하였습니다.
*개인의 차이에 따라 시술 및 수술 후 부작용이 발생할 수 있으며,
의료진과 충분한 상담을 받으시기 바랍니다.