신흥동치과 충치검진 받고 싶어요. 다수 충치치료(레진, 인레이, 크라운)및 사랑니 발치 사례

안녕하세요.
신흥동치과 서울박사치과입니다.
충치는 치아 건강을 위협하는
가장 일반적인 문제 중 하나로,
이를 방치할 경우 치아의 손상 정도가 심화되어
다양한 치료가 필요하게 됩니다.
특히, 여러 개의 충치가
동시에 발생한 경우에는
단순한 충치 치료를 넘어
레진, 인레이, 신경치료 등
복합적인 치료가 요구될 수 있습니다.
이러한 치료 방법들은
각기 다른 치아의 상태와
손상 정도에 따라 선택되며,
치아의 기능을 회복하고
더 이상의 손상을 방지하는 데
중요한 역할을 합니다.
충치로 인한 치아의
문제를 해결하기 위해서는
빠른 시일 내에 전문적인
치료를 받는 것이 중요하며,
이를 통해 건강한 치아를
유지할 수 있습니다.

오늘은 다수 치아의
충치치료를 진행한 사례를
소개해 드리겠습니다.
이번에 내원하신 환자분은
충치 검진을 위해
신흥동치과 서울박사치과에
내원해 주셨습니다.
육안으로 확인해 보았을 때,
충치가 꽤나 진행되어
깊어 보이는 치아들이 많았습니다.

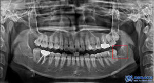
자세히 확인을 해보기 위해
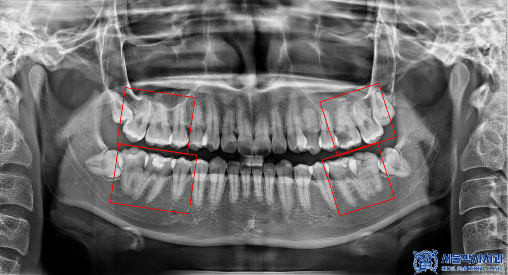
파노라마를 촬영해 보았습니다.
파노라마 상에서도
다수 우식이 발견되었습니다.
신흥동치과 서울박사는
자연치아를 살리는 방향으로 진단하고
또 꼭 필요한 진료만 권해드리고자
충치가 깊지 않은 곳은 레진이나 인레이로,
충치가 깊은 곳은 신경치료 및 크라운으로
자연치아 보존 방향으로 치료를 계획하였습니다.

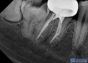
먼저 충치가 매우 깊었던
왼쪽 위 큰 어금니는
충치로 인해 치아가 파절되어 있는
상황이었습니다.
또한 씹는면 주변으로
치석이 쌓여있는 것으로 보아
관리가 잘 안되고 있는것으로
볼 수 있었습니다.
해당 부위는 신경치료를 진행하여
깊은 충치로 인한 치아 내부의
감염을 제거하고 치아의 기능을
회복할 수 있도록 했습니다.

또한 치아 뿌리까지 노출된 상태였고
신경 오염이 많이 된 상태여서
자연치아를 살리기에 많은 노력이
필요한 상황이었습니다.
해당 부위는 신경치료를 진행하여
깊은 충치로 인한 치아 내부의
감염을 제거하고 치아의 기능을
회복할 수 있도록 했습니다.

이렇게 신경치료를 진행하며
먼저 충치 제거 후,
감염된 치아 내부를
철저히 청소하고 소독하였습니다.
이후, 치아의 신경을 제거하고
깨끗하게 정리한 뒤,
빈 공간을 충전재로 채워
치아를 밀봉했습니다.

또한 오른쪽 아래 큰 어금니도
내부로 충치가 심한 상태로
신경치료를 함께 진행하기로 하였습니다.


똑같이 충치를 제거하고
감염된 내부를 깨끗하게 세척한 후
치아 내부의 빈 공간을 특수한 충전재로 채워
밀봉하여 치아가 더 이상
감염되지 않도록 했습니다.

본원은 MTA 신경치료를
진행하고 있습니다.
본원 신경치료의 경우,
보이지 않는 곳일지라도
좀 더 좋은 재료를 사용하여
하나를 치료해도 제대로 하고자
노력하고 있습니다.
특히 일반적으로 신경치료할 때
고무성분으로 충전하여
마무리를 하곤 하는데,
본원은 MTA라는 바이오세라믹 성분을 사용하여
신경치료를 하고 있습니다.
MTA 신경치료의 경우
재료비 훨씬 비싸지만,
장점이 훨씬 많고 좋은 예후를
기대할 수 있어서
서울박사치과에서 고집하는 재료입니다.
| 서울박사치과 MTA 신경치료 | 일반 신경치료 | |
| 성분 | 바이오세라믹 | 고무 |
| 치근재생효과 | 있음 | X |
| 살균효과 | 높음 | X |
| 통증완화효과 | 높음 | X |
| 내원횟수 | 평균 2~3회 |
4~5회 |


그리고 내부의 충치가 많이 깊지 않은 부위는
인레이로 진행하였으며,
겉 부분의 충치가 깊지 않은 곳은
레진을 통해 심미적으로 자연스럽게
치료해 드렸습니다.

인레이와 크라운의 경우,
자체운영중인 본원 원내기공소에서
정교한 디자인으로 1:1 개인 맞춤형으로
제작되고 있습니다.
직접 고품질 재료를 선택하고 구비하여
우수한 품질의 지르코니아 원재료를 사용하여
크라운을 제작하면
1) 내구성도 우수하여 오래도록 사용 가능
2) 자연치아와 매우 유사한 투명도와
색깔 구현이 가능하여 심미성이 높음
또한 10년 차 이상의 치기공사님께서 상주하여,
정교하게 디자인 후 환자분께
꼭 맞고 오래 쓰실 수 있도록
디자인하여 튼튼하게
제작하고 있습니다.

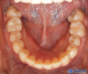
이렇게 치료가 마무리 되었습니다.
신흥동치과 서울박사는
치아를 살릴 수 있는 조금의 가능성도 되돌아보며
진료하고 있으며,
치아 뿌리 하나하나 세심하게 찾고
진심을 기울여서 진료합니다.
적절한 치료만 딱 받아보실 수 있게끔
치아 충치 정도에 따라
레진, 인레이, 신경치료로 나눠서
알맞게 잘 진행해드립니다.

다수 충치치료를 받아보시고
마음에 드셔서
사랑니 발치까지 진행하기로 하였습니다.
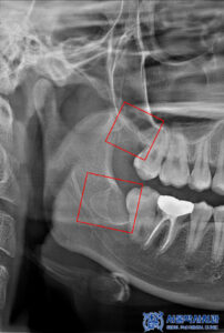
사랑니는 개인에 따라 매복 상태나
신경과의 위치가 달라
정밀한 진단이 중요하기 때문에,
3D CT를 촬영하여 사랑니의 위치와 형태,
주변 신경과의 거리 등을
정밀하게 확인했습니다.
이를 바탕으로 발치 과정에서
발생할 수 있는 위험 요소를
사전에 파악하고,
보다 안정적인 사랑니 발치를
계획하였습니다.

이렇게 확인 후 사랑니 발치를
진행하였습니다.

발치 후 환자분께서는 별로 안아프시다며
처음에는 1개만 진행하셨는데
그 다음에는 2개 한꺼번에
발치를 진행하였습니다.

이렇게 전체적인 치료가 마무리되며
다수 충치 문제들이
모두 해결이 되었습니다.
치료 후 기능적·심미적인 부분을
함께 회복하여 일상적인
저작 활동에 불편함이 없도록 개선되었고
자연스러운 치아 형태와
색상도 되찾을 수 있었습니다.
이후에는 치료된 치아를
오래 유지하기 위해
올바른 칫솔질과 정기적인 검진,
스케일링을 통한 꾸준한 관리의
중요성에 대해 안내드리며
마무리하였습니다.

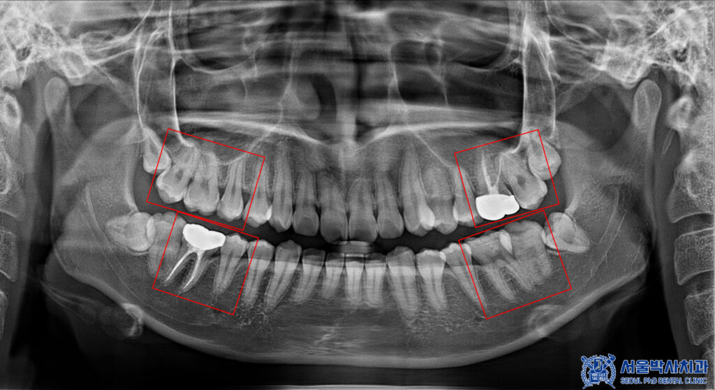
마무리 후 사진입니다.
환자분께서는 충치 정도에 따라
정직하게 진단해주는 모습이 좋았고,
치료도 너무 잘 받아보셨다고 하셨습니다.
신경치료 진행하면서
많이 편해지셨다고 하셨고,
크라운 색상도 다른치아들과 자연스럽고
씌운것도 괜찮으시다고
만족해주셨습니다.
이처럼 신흥동치과 서울박사치과는
충치의 진행 정도에 따라
과잉 없이 정직한 진단을 바탕으로
꼭 필요한 치료만을
안내드리고 있습니다.
치료 과정과 결과 모두에서
신뢰와 만족을 드릴 수 있도록,
앞으로도 환자 중심의
진료를 이어가겠습니다.
감사합니다.
*모든 증례 사진은 의료법 제23조, 제 56조에 의거하여,
당사자의 동의하에 게시하였습니다.
*치료 사진은 모두 본원에서 치료한 환자분의 사진입니다.
*치료 사진은 모두 동일인의 사진이며,
동일조건에서 촬영하였습니다.
*개인의 차이에 따라 시술 및 수술 후 부작용이 발생할 수 있으며,
의료진과 충분한 상담을 받으시기 바랍니다.
신흥동치과