신흥동치과 원내기공소가 있다 해서 충치치료 하러 왔어요.
기존 브릿지 제거 및 뼈이식 임플란트와 크라운 사례

안녕하세요.
신흥동치과 서울박사치과입니다.
치아는 한 번 손상되면
스스로 회복되지 않기 때문에
이미 치료한 부위라도
시간이 지나면서 다시
문제가 생길 수 있습니다.
특히 브릿지로 치료한 부위는
겉으로는 멀쩡해 보여도
내부에서 충치가 진행되는 경우가 있는데요.
브릿지 아래쪽, 즉 하방 부위는
세균이 침투하기 쉽고
칫솔질로 완전히 관리하기 어려워
충치가 생길 가능성이 높습니다.
이때는 단순히 썩은 부분만
제거하는 것으로 끝나지 않고,
기존 보철물을 제거하고 지대치를
다시 치료해야 하는 경우가 많습니다.
또한 인공치 부분은 상태에 따라
임플란트로 대체하여
더 튼튼하고 위생적인 형태로
복원하기도 합니다.

오늘은 기존 브릿지 하방의 충치로 인해
기존 보철 제거 후 크라운과
뼈이식 임플란트를 진행한 사례를
소개해 드리겠습니다.
이번에 내원하신 환자분은
본원에 원내기공소가 있고
잘해준다고 해서
충치 검진과 치료를 받으러
내원해 주셨습니다.
확인해 보니,
오래전 치료를 받은
브릿지 보철들이 관찰되었는데요.
보철이 마모가 되고 깨져
안에 금속이 드러나 있는
부분이 보였습니다.

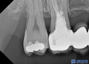
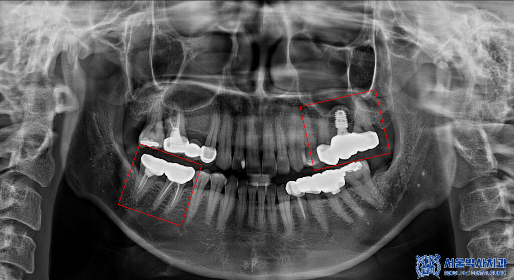
파노라마 촬영으로
전체 상태를 먼저 확인했습니다.
다만 크라운은 방사선 불투과성이 있어
내부 평가가 제한되므로,
정밀 엑스레이를 추가로 촬영해
보철물 하방 상태를 점검했습니다.
그 결과, 브릿지 아래쪽에
우식이 진행된 것이 확인되었습니다.
이에 신흥동치과 서울박사에서는
위쪽 브릿지를 모두 제거하고,
지대치는 크라운으로 다시 보철하며
인공치가 있던 부위는
임플란트 식립을 진행하기로 했습니다.
아래쪽 보철 역시 제거 후 상태에 맞춰
재보철을 진행하는
계획으로 안내드렸습니다.

임플란트 식립 전에는 CT 촬영을 통해
뼈의 두께와 높이,
신경과의 거리 등을
정밀하게 확인했습니다.
CT 결과를 바탕으로 식립 각도와
깊이를 세밀하게 계획하고,
충분한 뼈 지지가 확보될 수 있도록
맞춤형 임플란트 계획을 수립하였습니다.

먼저 왼쪽 위 치아 부위의
기존 보철물을 제거한 뒤
임플란트 식립을 진행했습니다.
치아가 오랫동안 없는 상태로 유지되다 보니
잇몸뼈가 일부 흡수되어
양이 부족한 상황이었습니다.
이에 따라 부족한 뼈를 보강하기 위해
뼈이식을 함께 진행하며
임플란트를 식립했습니다.

해당 환자분의 경우,
기존 보철물이 있던 부위에서
우식이 많이 발견되었습니다.
그래서 신흥동치과 서울박사에서는
우선적으로 자연치아를 살릴 수 있는 가능성을
그냥 지나치지 않으려고 노력하기에
살릴 수 있는 치아는 크라운을
새로 제작하여 자연치아를 살리려고 노력합니다.
그래서 내부의 충치를 깨끗하게 제거한 후
치아를 다듬어 보철 작업을 진행하였습니다.
또한 오른쪽 아래 부위 역시
기존 보철물을 제거한 뒤
남은 치아를 깨끗하게 정리하고,
형태를 다듬어 보철 치료를
다시 진행하였습니다.

임시치아를 제작하여 먼저 치아를 보호하고,
식립한 임플란트가
안정적으로 자리 잡을 수 있도록
치유 기간을 거쳤습니다.
이후 임플란트가 뼈와
잘 결합된 것이 확인되어,
자연치와 조화를 이루는
최종 보철물을 함께
제작·장착하였습니다.
이를 통해 기능적 회복은 물론,
심미적으로도 자연스러운
결과를 얻을 수 있었습니다.

마지막으로 오른쪽 위도
치료를 진행하였습니다.
기존 보철물을 제거한 뒤
인공치가 있었던 자리에
무절개임플란트 식립을
진행하였습니다.
절개 없이 진행된 만큼 잇몸 손상이 적고,
회복 기간도 비교적 짧아
치료 후 불편감이 거의 없었습니다.
신흥동치과 서울박사에서는
무절개임플란트를 네비게이션 방식으로
진행하고 있습니다.
네비게이션 방식으로
컴퓨터 시뮬레이션을 통해
식립 위치를 미리 정밀하게 계산하여
오차를 줄이는 방식입니다.
또한 수술유도장치인 가이드를
수술에 활용하여,
정밀하게 계산된 자리에
임플란트를 식립하므로,
무절개로 진행이 가능합니다.

<무절개임플란트의 장점>
1) 미리 계산된 위치에 식립 가능하여
식립 오차가 매우 적음
2) 무절개 진행으로 출혈이나 부기가 적어,
회복이 비교적 빠름
3) 미리 정교하게 계산된 수술 가이드를 활용하여
수술 시간 단축되어 환자분께 편리함

임플란트의 치유 기간이 충분히 지난 뒤,
보철 작업을 진행했습니다.
정밀한 교합과 잇몸 라인을 구현하기 위해
맞춤형 지대주를 제작하고,
이에 맞는 보철물을 장착하였습니다.
또한 주변 인접 치아들도 함께
크라운 보철을 제작하여
전체적으로 기능과 심미성이
조화를 이루도록 마무리했습니다.

<서울박사치과 보철물의 특장점>
1) 디지털 원내기공소 보유
– 11년 차 이상의 기공사가 상주하여
개인 맞춤형 보철물 디자인
– 첨단 구강스캐너와 최신 장비 보유로 정교함 강화
2) 고품질의 원재료만 취급
– 내구성이 강한 튼튼한 보철물을 제작하여
더욱 오래 사용 가능
3) 심미적으로 우수함 추구
– 가장 자연치아와 유사하고 자연스럽게 제작 가능

마무리 후 사진입니다.
환자분께서는 근처가 아닌
강동에서 내원해 주셨는데,
보람이 있었다며 치료받은 곳
다 괜찮다고 좋아해 주셨습니다.
또한 이번 기회에 제대로 된 치과에서
전체적으로 충치가 있었던 곳들
모두 치료를 받아서
매우 만족해 주셨습니다.
이처럼 신흥동치과 서울박사치과는
눈에 보이는 부분만이 아닌,
치아 전체의 균형과 기능을
함께 고려한 치료로
환자분이 오랜 기간 편안하게
사용할 수 있도록 돕고 있습니다.
위 사례처럼 오래전 치료받았던
보철 하방으로 충치가 생겨
불편하다면 신흥동치과 서울박사에 내원하셔서
정밀한 진단을 받아보시길 바랍니다.
감사합니다.
*모든 증례 사진은 의료법 제23조, 제 56조에 의거하여,
당사자의 동의하에 게시하였습니다.
*치료 사진은 모두 본원에서 치료한 환자분의 사진입니다.
*치료 사진은 모두 동일인의 사진이며,
동일조건에서 촬영하였습니다.
*개인의 차이에 따라 시술 및 수술 후 부작용이 발생할 수 있으며,
의료진과 충분한 상담을 받으시기 바랍니다.