신흥동치과 예전 보철물제거 후, 뼈이식을 포함한 다수 어금니임플란트 사례

안녕하세요, 신흥동치과
서울박사치과입니다.
임플란트는 단순히 인공치아를 심는 것이 아니라,
정확한 위치와 각도로 식립해야 하는
정밀한 치료입니다.
만약 임플란트를 잘못된 각도로 식립하게 되면,
음식물이 자주 끼거나, 잇몸과 임플란트 사이에
틈이 생겨 염증이 반복될 수 있고,
결국 임플란트 주위염으로 인해 임플란트를
다시 제거해야 할 수도 있습니다.
또 씹는 힘이 제대로 전달되지 않아 불편함을 느끼거나,
심한 경우 보철물이 파절되는 경우도 있습니다.
이러한 문제를 예방하기 위해서는 숙련된 술자의
경험과 더불어 정확한 진단과 계획,
그리고 정밀한 식립이 필수입니다.
오늘은 임플란트 치료에서 “식립 각도”가
얼마나 중요한지, 그리고 잘못된 각도로 심었을 때
어떤 문제가 발생할 수 있는지를 설명드리면서,
최근 저희 치과에서 치료받으신
실제 사례를 소개해드리고자 합니다.

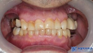
이번에 저희 서울박사치과를 찾아주신 환자분께서는
기존에 다른 치과에서 임플란트 치료를
받으셨었지만, 기존 임플란트와 보철물이
파절되면서 다시 진단을 받아보고자
저희 치과에 내원하셨습니다.

우선, 환자분의 상악 오른쪽 어금니들은
치주 염증이 심한 상태로,
기존에 받으셨던 보철물 아래로 염증이
심하게 퍼져 제거가 필요한 상태였습니다.
뿐만 아니라, 상하좌우 맨 안쪽 어금니들의
잇몸과 뼈 상태가 많이 악화되어 있어
보존이 어려운 상황이었기에
각각 발치도 진행되어야 했습니다.

이러한 전체적인 상황을 자세히 설명 들으신
환자분께서는 총 10개의 임플란트를
식립해야 하는 큰 케이스였음에도 신뢰가 간다며
치료를 바로 결정하셨습니다.

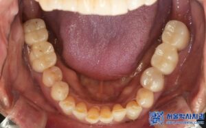
발치를 진행한 후, 우선적으로 하악 좌우 어금니
부위부터 무절개 임플란트를 총 4개 심었습니다.
이 과정에서는 뼈 이식도 병행하였습니다.

이후 상악 좌우도 순차적으로 치료를 진행하였으며,
기존 타 치과에서 심은 왼쪽 위 작은 어금니 위치의
임플란트와 파절된 인접 보철물도
함께 제거하였습니다.

상악 좌우는 모두 뼈이식을 동반한
무절개임플란트를 총 6개 식립하였습니다.

이처럼 총 10개의 무절개 임플란트를
식립하게 되었는데요.
여기서 무절개 임플란트란,
말 그대로 잇몸을 절개하지 않고 수술을
진행하는 방식입니다.
미리 3D CT를 통해 정밀한 위치를 컴퓨터로 분석하고,
고성능 3D프린터로 만든 “수술 가이드”를 이용해
임플란트를 심기 때문에 출혈과
통증이 적고 회복도 빠릅니다.

위 이미지는 실제 수술 중 수술가이드를
착용했던 모습으로,
임플란트가 정확한 각도로 식립될 수 있습니다.
무절개 방식은 특히 임플란트의 “식립 각도”를
정밀히 맞추는 데 큰 도움이 됩니다.

이는 임플란트 성공률에 직결되는 요소로,
최근 많은 연구에서도 식립 각도의
중요성이 강조되고 있습니다.
신흥동치과 서울박사치과는
이런 정밀한 치료를 위해
숙련된 의료진과 함께 디지털 장비를
적극적으로 활용하여 임플란트
성공률을 높히고 있습니다.

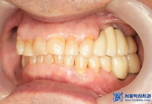
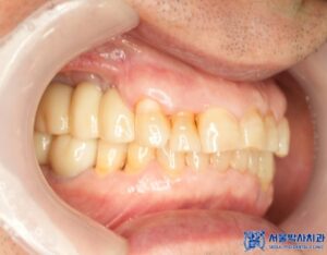
임플란트 수술이 끝나고 임플란트가 잘 고정된 후에는,
저희 서울박사치과 원내기공소에서 제작한
개인 맞춤형 보철물을 세팅해드렸습니다.
저희 기공소에는 10년 이상의 경력을 지닌
전문 치과기공사가 상주하여,
단순히 예쁜 보철물만이 아닌 퀄리티가 높은
기능적이고 편안한 보철을 제작해 드리고 있습니다.
특히 맞춤형 지대주를 제작하여 음식물 끼임을
줄이고 환자 개개인의 구강구조에 꼭 맞게
보철물을 제작합니다.
또한 고품질 재료를 사용해 내구성이 뛰어나고
심미성이 우수하며,
보철물이 어색하거나 불편하실 경우에도 원내에서
빠르게 조정해드릴 수 있는 것이 큰 장점입니다.

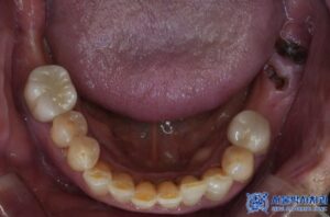
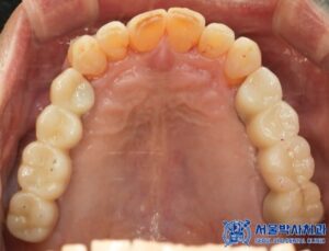
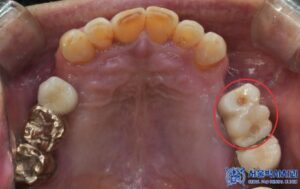
치료 마무리 후 사진입니다.
최종 보철물 세팅 이후 환자분께서는 불편함도 없었고,
교합 체크를 위해 다시 내원하셨을 때도
“음식 씹을 때 너무 편하고, 교합도 잘 맞는다”고
만족해하셨습니다.

마지막으로 임플란트를 오랫동안 잘 사용하기
위해서는 철저한 관리가 중요합니다.
하루 3회 이상 칫솔질은 기본이고,
치간칫솔이나 워터픽 등 보조구강청결용품을
꾸준히 사용하는 것이 좋습니다.
6개월에 한 번씩 정기검진을 통해 임플란트 상태를
체크받으시는 것도 꼭 필요합니다.

앞으로도 신흥동치과 서울박사치과는
환자 한 분 한 분께 맞춘 정밀하고 신뢰할 수 있는
치료를 제공할 수 있도록 노력하겠습니다.
감사합니다.
*모든 증례 사진은 의료법 제23조, 제 56조에 의거하여,
당사자의 동의하에 게시하였습니다.
*치료 사진은 모두 본원에서 치료한 환자분의 사진입니다.
*치료 사진은 모두 동일인의 사진이며,
동일조건에서 촬영하였습니다.
*개인의 차이에 따라 시술 및 수술 후 부작용이 발생할 수 있으며,
의료진과 충분한 상담을 받으시기 바랍니다.