신흥동치과 어금니 없이 지내다가 왔어요.
상악동거상술 포함한 어금니 임플란트와 어금니 크라운까지

안녕하세요.
신흥동치과 서울박사치과입니다.
치아는 일상생활에서 음식을 씹고
발음하는 데 중요한 역할을 하지만,
한 번 상실되면 여러 불편함이
뒤따르게 됩니다.
씹는 기능이 떨어질 뿐 아니라
주변 치아에 과도한 힘이 가해지고
장기적으로는 턱뼈가 약해지는
문제까지 발생할 수 있습니다.
이러한 이유로 많은 분들이
자연치아와 가장 유사한 기능을
회복할 수 있는 임플란트를 선택하지만,
치아를 오래 잃은 상태로 두면
잇몸뼈가 부족해 추가적인 뼈 이식이나
상악동거상술이 필요해지는 경우가 있습니다.

오늘은 상실된 치아의
상악동거상술을 동반한 임플란트와
뿌리 끝 염증으로 인해 임플란트,
재보철까지 진행한 사례를
소개해 드리겠습니다.
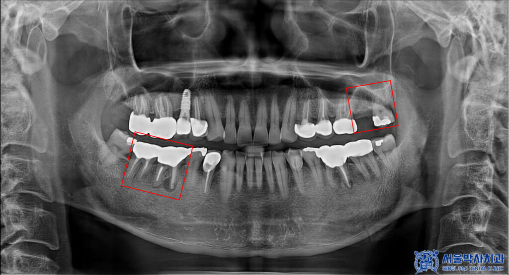
이번에 내원하신 환자분은
왼쪽 위 어금니 없이 지내신지 꽤 되셨고
전체적인 검진도 받아보기 위해
본원에 내원해 주셨습니다.

확인해 보니,
왼쪽 위 어금니의 상실이 있었고
사랑니도 있었습니다.
또한 오른쪽 아래
첫번째 큰 어금니 뿌리 끝으로
염증이 크게 잡혀있는 것을
확인 할 수 있었습니다.
그래서 신흥동치과 서울박사에서는
먼저 왼쪽 위 상실된 부위의 회복을 위해
임플란트를 식립하면서 잇몸뼈 부족으로
상악동거상술까지 진행하기로 하며,
사랑니도 치주염 진행으로 인해
발치를 하기로 하였습니다.

CT를 촬영하여 식립 위치를 확인하며
뼈의 높이와 두께, 그리고 상악동과의 거리를
정밀하게 확인을 하였습니다.

먼저 왼쪽 위 임플란트를 식립하면서
상악동거상술도 같이 진행하였습니다.
그리고 사랑니까지
발치를 하였습니다.
상악동거상술이란 위쪽 어금니 부위에
임플란트를 식립할 공간을 확보하기 위해
상악동을 들어올리고
뼈이식을 진행하는 수술입니다.
이는 임플란트가 안정적으로
자리잡을 수 있도록 하고
예후가 좋아집니다.
상악동거상술은 상악동이라는
해부학적으로 까다로운 부분에서
시행되기 때문에
경험이 풍부한 의료진에게
수술을 받는 것이 매우 중요합니다.
신흥동치과 서울박사의 경우
임플란트를 포함한 상악동거상술에 대한
다년간 수많은 수술 건으로,
풍부한 경험과 노하우를 보유하고 있어서
안정적으로 수술을 받을 수 있습니다.

그 다음 치료는 오른쪽 아래로,
CT상에서도 보이는
뿌리 끝 염증과 충치로 인해
골소실이 진행될만큼
썩어있는 상태였습니다.
그래서 해당 치아는 발치를
진행하기로 하였습니다.

먼저 기존 보철을 제거하여
내부 상황을 확인해 보니,
뒤 치아의 내부 상태가 괜찮아서
타원 오래된 보철만 새로운 보철로
제작하여 교체해드리기로 하였습니다.
이처럼 서울박사치과는
살릴 수 있는 치아는 살리고,
꼭 필요한 치료만 권장드릴 수 있도록
정직하게 진료를 하고 있습니다.

앞 치아는 신경치료가
되어있는 치아라
치아를 분할하며
발치를 진행하였습니다.
그리고 치근낭 적출도 함께 진행하여
염증을 깨끗하게 소파하였습니다.

이후 무절개임플란트 식립을 하였으며,
뒤 치아는 재보철 수복을 해드렸습니다.

<무절개임플란트란?>
컴퓨터 분석을 통해
미리 계산된 경로를 활용하여
임플란트 식립 오차가 줄어들며,
수술 가이드를 활용하여
침습범위가 매우 적습니다.
출혈이 적어 회복이
빠른 장점도 있습니다.
무절개임플란트는
위 사진과 같이 수술 가이드처럼
유도장치를 착용하고 수술을 진행하며,
위 장치는 고성능 3D프린터로 컴퓨터 분석으로
정밀한 계산을 통해 제작됩니다.
이에 따라, 무절개임플란트는
임플란트 식립위치가 정밀하며
식립각도 오차가 줄어듭니다.

임플란트 식립 각도는
임플란트 성공률에 큰 영향을 미치고
이에 대한 연구도 많습니다.
신흥동치과 서울박사는
풍부한 임상경력의 의료진과
컴퓨터 분석을 통해
식립 위치를 정밀하게 계산하여
임플란트 성공률이 높습니다.

이후 먼저 왼쪽 위 임플란트 먼저
보철 작업을 시작하였습니다.
본원에서는 자체적으로
원내기공소를 운영하고 있으며,
모든 보철물들을 개인 맞춤형으로 정교하게
디자인하여 제작되고 있으며,
특히 고품질 재료를 직접 골라 사용하여
오래오래 사용하실 수 있도록
보철물을 만들고 있습니다.
맞춤형 지대주를 제작 후
그에 맞는 최종보철을 제작하여
맞춰본 뒤 영구접착을 하였습니다.

왼쪽 위가 마무리 된 후
이어서 아래쪽도 서울박사치과의 맞춤형 지대주와
최종 보철을 제작하여 맞춰보았습니다.


이렇게 전체적인 치료가
마무리 되었습니다.
<서울박사치과 원내기공소 특장점>
1. 10년 차 이상 경력의 전문 치과기공사가 상주하여,
퀄리티가 높은 보철물을 제작
2. 임플란트 맞춤형 지대주를 사용하여
음식물 끼임이 적고
개인 구강 맞춤형으로 보철 제작
3. 보철 제작 시 좋은 재료를 사용하여
내구도가 강한 보철물 제작
4. 고품질 보철 재료를 사용하여
심미도가 높고 자연스럽게 제작
5. 보철물이 어색할 경우,
수정이나 조정이 빠르게 가능

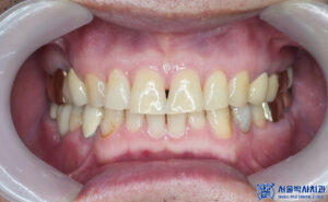
마무리 후 사진입니다.
환자분께서는 발치나 임플란트 이후에도
정말 안 아프다며 괜찮다고
피드백을 주셨습니다.
그리고 어금니 쪽에 이전에 진행했던
보철보다 훨씬 마음에 드신다며
크라운과 임플란트 보철 모두
심미적으로 자연스럽고
꼭 맞게 잘 설계되었다며
매우 좋아해주셨습니다.
이처럼 신흥동치과 서울박사치과는
정밀한 진단과 체계적인 수술 계획,
경험을 바탕으로 한 섬세한 시술,
그리고 개개인에게 맞춘 보철 디자인을 통해
환자분들이 치료 전보다 더욱 편안하고
건강한 구강 상태를 회복하실 수 있도록 돕고 있습니다.
위 사례와 같이 치아가 상실되어
불편함을 겪고 계신다면
서울박사치과에서 섬세한 상담과
진단을 받아보시길 바랍니다!
감사합니다.
*모든 증례 사진은 의료법 제23조, 제 56조에 의거하여,
당사자의 동의하에 게시하였습니다.
*치료 사진은 모두 본원에서 치료한 환자분의 사진입니다.
*치료 사진은 모두 동일인의 사진이며,
동일조건에서 촬영하였습니다.
*개인의 차이에 따라 시술 및 수술 후 부작용이 발생할 수 있으며,
의료진과 충분한 상담을 받으시기 바랍니다.
신흥동치과