신흥동치과 어금니가 없어서 불편해요
(임플란트와 레진, 크라운 치료 사례)

안녕하세요.
신흥동치과 서울박사치과입니다.
치아가 상실된 상태로 지내다 보면
반대편 치아가 내려오거나,
주변 치아가 빈 공간으로 이동하면서
전체적인 교합(물리는 힘의 균형)이
흐트러질 수 있습니다.
또한, 치아가 없는 쪽으로는 씹는 힘이 약해지고,
결국 반대편 치아에 과부하가 걸려
추가적인 치아 손상으로 이어질 가능성이 큽니다.
그렇기 때문에 치아를 상실했을 때는
빠른 시일 내에 치료를 받는 것이 좋습니다.
오늘은 오래전에 하악 어금니를 발치하고
그 상태로 지내시다가,
전체적으로 치료를 받으러 오신 환자분의
임플란트 치료 및 신경 치료 사례를
소개해 드리도록 하겠습니다.

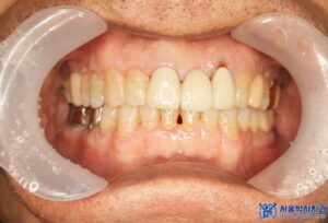
위 환자분께서는 오랫동안 없던 어금니뿐만 아니라
나머지 불편한 치아들도 함께 치료를 원하셨는데요.
그래서 임플란트 상담을 통해
치료 계획을 세운 후,
무절개 방식의 임플란트 식립을
우선적으로 진행하기로 하였습니다.
또한, 다른 치아들의 충치와 손상된 부위에 대해서도
신경치료와 보철 치료를 함께 진행하며,
전반적인 구강 건강을
회복할 수 있도록 도와드리기로 하였습니다.

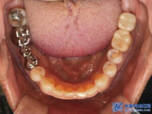
환자분은 좌측 아래쪽 어금니가 없는 상태였고,
오랫동안 방치되어 치조골(잇몸뼈)의
변화가 일부 있었습니다.
하지만 다행히도 임플란트를 식립하기에
충분한 골량이 유지되고 있었고,
무절개 방식으로 빠르게
임플란트를 진행할 수 있었습니다.
이처럼 서울박사치과에서는
무절개 임플란트 방식을
적극적으로 활용하고 있습니다.
무절개 방식은 컴퓨터 분석을 통해
미리 임플란트의 식립 위치를 시뮬레이션하여,
수술 시 오차를 줄여주는 방법입니다.
수술 가이드를 활용하여 정확한 위치에
임플란트를 심기 때문에,
잇몸을 절개할 필요 없이 간편하고
안정적인 수술이 가능합니다.
무절개 임플란트의 장점
✅ 정확한 식립 각도 조절
임플란트는 올바른 각도로 식립되는 것이
성공의 핵심입니다.
네비게이션 시스템을 통해 사전 분석하여
최적의 위치에 심기 때문에, 성공률이 높습니다.
✅ 출혈과 붓기 감소
잇몸 절개 없이 최소한의 침습으로 진행되기 때문에
일반적인 임플란트보다 회복 속도가 훨씬 빠릅니다.
✅ 수술 시간 단축
시뮬레이션을 통해 사전에 모든 계획을 세운 후
진행하기 때문에 수술 시간이 짧고
환자의 부담이 적습니다.
✅ 통증 완화
무절개 방식으로 진행하면 잇몸과 뼈에 가해지는
자극이 적어 수술 후 통증이 훨씬 적습니다.
환자분도 수술 후 생각보다 피가 거의 나지 않았고,
붓기도 별로 없었다며 만족해하셨습니다.


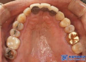
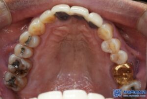
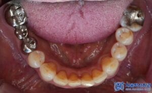
임플란트 치료 외에도, 환자분의 남아있는
치아들 중 심한 충치가 있는 어금니
(오른쪽 위 큰 어금니, 왼쪽 위 작은 어금니,
왼쪽 위 큰 어금니, 왼쪽 아래 큰 어금니)는
신경치료를 진행하였습니다.
저희 서울박사치과는 자연치아 보존을
최우선으로 고려하며,
살릴 수 있는 치아는 최대한 보존하는
방향으로 치료하고 있습니다.
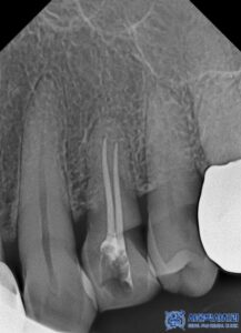
특히, 신경치료 시 일반적인 충전재(고무) 대신
MTA 신경치료를 적용하였습니다.
MTA 신경치료의 장점
✅ 바이오세라믹 성분
강한 살균 효과와 치근 재생 효과가 있어,
치료 후 예후가 매우 좋습니다.
✅ 세균 침투 차단
기존 재료보다 밀폐력이 뛰어나 신경치료 후에도
2차 감염 위험이 낮습니다.
✅ 치아 구조 강화
신경치료 후 치아가 약해지는 것을 방지하고,
보다 튼튼하게 유지됩니다.
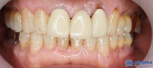
신경치료가 끝난 어금니는 치아를 보호하기 위해
크라운 치료를 진행하였습니다.
서울박사치과에서는 원내 기공소를 운영하고 있어,
더욱 정밀하고 빠른 보철 치료가 가능합니다.

서울박사치과 원내 기공소의 차별점
✅ 디지털 장비를 활용한 정밀 제작
최첨단 기기를 통해 정밀한 크라운 제작이 가능하며,
환자의 구강 구조에 최적화된 보철물을 제공합니다.
✅ 전문 치과 기공사 상주
10년 이상 경력의 기공사가 직접 보철물을 제작하여,
퀄리티가 뛰어납니다.
✅ 고품질 재료 사용
내구성이 강하고 심미성이 우수한 재료를 사용하여
자연스럽고 튼튼한 크라운 제작이 가능합니다.
✅ 빠른 수정 및 조정 가능
직접 기공소에서 제작하기 때문에,
보철물에서 어색함이 느껴진다면
빠르게 조정이 가능합니다.
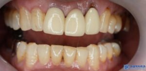
이러한 장점 덕분에 환자분도
완성된 크라운의 색상과 모양, 착용감 등
모두 만족스럽다고 하셨습니다.

추가적으로, 충치 범위가 크지 않은 송곳니와
작은 어금니는 레진 치료를 진행하였습니다.
저희 치과는 충치 범위에 따라
꼭 필요한 치료만 권해드리며,
자연치아 보존을 우선으로 하고 있습니다.

환자분은 전체적인 치료를 마친 후,
전체적으로 치아가 건강해진
느낌이 든다고 말씀하셨습니다.
특히 임플란트 수술 후 회복이 빠르고,
신경치료도 통증이 적었다는 점에서
큰 만족감을 보이셨습니다.

임플란트 치료는 조기에 진행할수록
더 좋은 결과를 얻을 수 있으며,
자연치아도 적절한 치료를 통해
오랫동안 건강하게 유지할 수 있습니다.
신흥동치과 서울박사치과는 환자의 구강 건강을
최우선으로 생각하며,
자연치아를 최대한 보존하는 치료를 제공합니다.
무절개 임플란트부터 정밀한 신경치료,
원내 기공소를 활용한 맞춤 보철까지
체계적인 진료를 원하신다면 언제든지
신흥동치과 서울박사치과를 찾아주세요!
*모든 증례 사진은 의료법 제23조, 제56조에 의거하여,
당사자의 동의하에 게시하였습니다.
*치료 사진은 모두 본원에서 치료한 환자분의 사진입니다.
*치료 사진은 모두 동일인의 사진이며,
동일 조건에서 촬영하였습니다.
*개인의 차이에 따라 시술 및 수술 후 부작용이 발생할 수 있으며,
의료진과 충분한 상담을 받으시기 바랍니다.