신흥동치과 앞니 보철물이 부러졌어요. MTA 신경치료와 앞니 크라운으로 자연치아 살린 사례

안녕하세요.
신흥동치과 서울박사치과입니다.
앞니는 심미성과 기능을 동시에 담당하는 부위로,
작은 문제라도 일상생활에
큰 불편을 초래할 수 있습니다.
특히 브릿지 보철물은
오랜 기간 사용하면서
재료의 피로, 교합 변화, 구강 위생 관리의 한계 등으로
파절되거나 내부 치아에
문제가 발생하는 경우가 적지 않습니다.
겉으로 보기에는
단순한 보철 파손처럼 보이더라도,
내부에서는 치아우식이 진행되거나
치근단 부위에 염증이 생겨
통증과 불편감을 유발할 수 있습니다.
이러한 경우에는 보철물의 재제작뿐 아니라,
손상된 치아를 보존하기 위한
신경치료가 선행되어야 합니다.

오늘은 앞니 브릿지 파절로 인해
신경치료 및 재보철을 진행한
사례를 소개해 드리겠습니다.
이번에 내원하신 환자분은
약 15년 전에 진행한 앞니 브릿지가
파절되어 급하게 내원해 주셨습니다.

확인해 보니,
앞니 브릿지 일부가 파절 되어있었으며
보철물 안쪽의 충치와
CT상에서 뿌리 끝 염증이 있었습니다.
신흥동치과 서울박사는 자연치아를
살리는 방향으로 진단을 하기 때문에
기존 타 치과 브릿지 제거 후
신경치료를 진행하기로 하였습니다.
오른쪽 앞니는 이미 기존에 신경치료를 진행하여,
이에 따라 재신경치료를 진행하기로 하였습니다.
재신경치료는 이미 신경치료를 한번 했던 곳에
또다시 신경치료를 진행하는 것이기에
일반적인 신경치료보다 까다로워서
의료진의 실력이 중요합니다.
본원은 재신경치료를 많이 진행하고 있으며,
성공률이 높아 많은 분들이
치아를 다시 살리려고 찾아오시고 계십니다.

먼저 기존 브릿지를
제거하였습니다.
제거 후 확인해 보니
치아에 충치가 진행되어 있는 것을
관찰할 수 있었습니다.

그래서 신경치료 전
충치를 깨끗하게 제거하여
감염된 치아 구조를 정리하고,
이후 신경치료를 진행할 수 있는
상태로 만들었습니다.


이후 신경치료를 진행하여
치아 내부의 감염된 신경과 염증을 제거하고,
재감염을 예방할 수 있도록
근관을 꼼꼼하게 소독·충전하였습니다.
신흥동치과 서울박사는
환자분 본연의 치아를 살릴 수 있는
조금의 가능성도 되돌아보며 진료하고 있으며
자연치아 살리기 진료를 우선해서 하고 있습니다.
신경치료는 미세한 치아 신경관을
하나하나 찾아내어 살리는 진료이기에
정성과 진심을 기울여서 진료하여
자연치아를 오래 사용하실 수 있도록
노력을 들이고 있습니다.

본원에서는
MTA 신경치료를 진행하고 있습니다.
서울박사치과 신경치료의 경우,
보이지 않는 곳일지라도
좀 더 좋은 재료를 사용하여
하나를 치료해도 제대로 하고자
노력하고 있습니다.
특히 일반적으로 신경치료할 때,
고무 성분으로 충전하여
마무리를 하곤 하는데,
본원은 MTA라는 바이오세라믹 성분을 사용하여
신경치료를 하고 있습니다.
MTA 신경치료의 경우 재료비가 훨씬 비싸지만
장점이 훨씬 많고
좋은 예후를 기대할 수 있어서
서울박사치과에서 고집하는 재료입니다.
| 서울박사치과 MTA 신경치료 | 일반 신경치료 | |
| 성분 | 바이오세라믹 | 고무 |
| 치근재생효과 | 있음 | X |
| 살균효과 | 높음 | X |
| 통증완화효과 | 높음 | X |
| 내원횟수 | 평균 2~3회 | 4~5회 |

이렇게 MTA 신경치료로
자연치아를 살린 이후에
원내 기공소에서 지르코니아
브릿지를 제작하였습니다.

본원에서는 자체 운영중인
원내 기공소에서 1:1 개인 맞춤형으로
크라운을 제작하고 있습니다.
10년 차 이상의 치과기공사 실장님이 상주하며,
정교하고 세밀하게 디자인하여
보철물을 제작합니다.
또한 저작하는데 편하실 수 있도록
기능적인 면 뿐만 아니라,
전체적으로 자연치아 모양과 색 등
자연스럽게 구현이 가능하도록
전문적으로 작업하고 있습니다.
<서울박사치과 크라운의 특장점>
1) 자체 원내 기공소에 10년 차 이상의 기공실장님 상주로
정교한 개인 맞춤형 디자인 가능
2) 우수한 품질의 지르코니아 원재료를 사용
3) 고품질 재료 사용으로 내구성 우수
4) 자연치아와 매우 유사한 투명도와
색상 구현이 가능하여 심미성을 높임

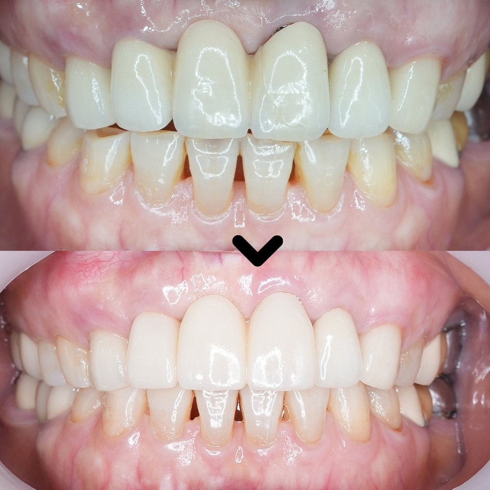
마무리 후 사진입니다.
환자분께서는 치과에
자주 방문하시지 않으셔서
처음에 걱정도 많고
질문도 매우 많으셨습니다.
하지만 믿고 치료 받아보시면서
점점 편안해지셨고,
마무리된 모습을 보고
매우 만족해주셨습니다.
이처럼 신흥동치과 서울박사는
현재 상태를 확실히 진단하고,
필요한 치료를 단계적으로 진행하여
환자분이 안심하고 치료받을 수 있도록
항상 노력하고 있습니다.
위 사례처럼 오래전 진행했던
보철에 문제가 생겨 치료가 필요하다면
신흥동치과 서울박사치과에서
기능과 심미성 모두를 고려한
맞춤 치료를 받아보시길 바랍니다.
감사합니다.
*모든 증례 사진은 의료법 제23조, 제 56조에 의거하여,
당사자의 동의하에 게시하였습니다.
*치료 사진은 모두 본원에서 치료한 환자분의 사진입니다.
*치료 사진은 모두 동일인의 사진이며,
동일조건에서 촬영하였습니다.
*개인의 차이에 따라 시술 및 수술 후 부작용이 발생할 수 있으며,
의료진과 충분한 상담을 받으시기 바랍니다.