신흥동치과 앞니가 빠졌어요. 뼈이식 임플란트와 크라운 치료사례

신흥동치과

 

앞니는 웃을 때나 말을 할 때 가장 먼저
보이는 부위이기 때문에 심미적으로
중요한 역할을 합니다.

 

하지만 치아를 상실한 상태로 오래 두면
주변 뼈가 점점 흡수되어 임플란트를
식립하기 어려운 상태가 될 수 있습니다.

 

특히 앞니 부위는 원래 치조골이
얇은 편이라 뼈이식이 필요한 경우가 많습니다.

 

오늘은 앞니 임플란트와 뼈이식을
함께 진행하신 환자분 사례를
소개해 드리도록 하겠습니다.

 

신흥동치과  신흥동치과 신흥동치과

 

환자분은 아래쪽 앞니가 빠지면서
음식물을 씹기가 불편한 것은 물론이고,
사람을 마주하기가 어려워
치료를 고민하고 계시다 지인의 소개로
신흥동치과 서울박사치과를 찾아주셨는데요.

 

앞니가 빠진 부위뿐만 아니라 전체적으로
상태가 좋지 않은 치아들이 많았고,
몇몇 치아는 염증이 심한 상태였습니다.

 

신흥동치과

 

특히 환자분께서는 고혈압과 고지혈증으로 인해
아스피린을 복용 중이셨기 때문에
수술 전 약 조절이 필요하였습니다.

 

신흥동치과

 

치료를 위해 이미 빠져있던 치아 이외에 문제가 심했던
왼쪽 위 작은 어금니, 왼쪽 아래 작은 어금니,
아래 앞니 2개 총 치아 4개를 발치한 후,
임플란트를 식립하기로 결정했고
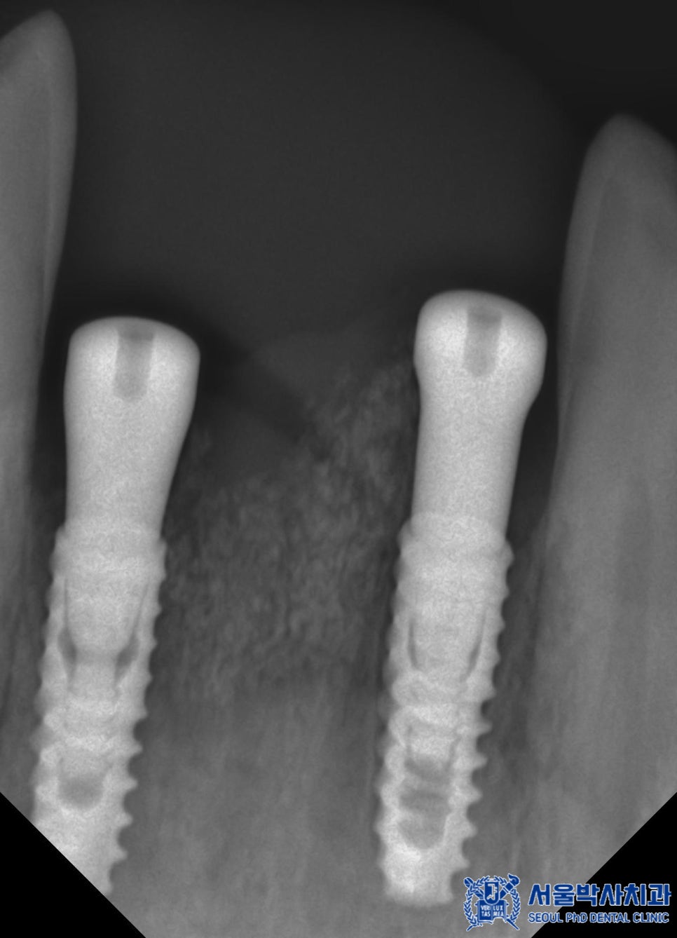
앞니는 2개의 임플란트만 식립하여
브릿지로 연결하기로 하였습니다.

 

신흥동치과

 

특히 아래쪽 앞니 부위는 오랜 기간 치아가
빠져 있던 탓에 뼈가 많이 흡수된 상태였습니다.

 

이때 임플란트를 안정적으로 고정하기 위해서는
충분한 골량이 필요하기 때문에
해당 부위에는 뼈이식을 함께 진행하기로 했습니다.

 

치료를 위해 임플란트 수술 전,
주치의와 협의하여 아스피린 복용 중단 여부를
신중하게 결정하고 안정적으로
수술을 진행하였습니다.

 

신흥동치과 신흥동치과

 

신흥동치과 서울박사에서는
무절개 임플란트
방식을 적용하고 있습니다.

 

이는 컴퓨터 분석을 통해 미리 계산된 경로를
기반으로 임플란트를 식립하는 방식으로,
수술가이드를 활용하여 절개 없이도
정밀한 수술이 가능한데요.

 

임플란트 성공률에서 중요한 요소 중
하나는 식립각도로,
식립각도가 임플란트 성패에 얼마나 영향을
주는 지에 관한 연구도 뉴스로 발표되었습니다.

 

신흥동치과

 

식립각도가 틀어지면 저작력이 제대로
전달되지 않거나 심미적으로 어색할 수 있습니다.

 

서울박사치과에서는 컴퓨터 시뮬레이션을 통해
최적의 식립 위치와 각도를 미리 계산하여
수술을 진행합니다.

 

특히 절개 없이 임플란트를 식립하기 때문에
출혈이 거의 없고 수술 후 부기가 적어
일반적인 절개 방식에 비해 통증도 덜하며
회복 속도가 빠릅니다.

 

또한 사전 계획에 따라 정밀하게 진행되므로
수술 시간이 크게 단축됩니다.

 

신흥동치과

 

안정적으로 식립한 후에는
즉시 임시 치아를 장착해 드려
환자분이 치아가 없는 상태로 지내는
불편함을 줄여드렸습니다.

 

수술 직후에도 일상생활이 가능하여
환자분께서도 매우 만족해하셨습니다.

 

약 2개월 후, 임플란트가 안정적으로
자리 잡은 것을 확인한 뒤
최종 보철물을 제작하였습니다.

 

신흥동치과 신흥동치과

신흥동치과 신흥동치과

 신흥동치과신흥동치과

 

신흥동치과 서울박사치과는
자체 기공소를 운영하고 있어,
보다 정밀한 개인 맞춤형 보철물을
제작할 수 있습니다.

 

<원내 기공소의 장점>

-> 10년차 이상 경력의 전문 치과기공사가 상주하여,
퀄리티가 높은 보철물을 제작할 수 있습니다.

-> 임플란트 “맞춤형 지대주”를 사용하여 음식물
끼임이 적고 개인 구강맞춤형으로
보철물을 제작하고 있습니다.

-> 보철 제작시 좋은 재료를 사용하여,
내구성이 강한 보철물 제작할 수 있습니다.

-> 고품질 보철재료를 사용하여,
심미도가 높고 자연스럽게 제작할 수 있습니다.

-> 보철물이 어색할 경우,
수정이나 조정이 빠르게 가능합니다.

 

신흥동치과 신흥동치과

신흥동치과 신흥동치과

 

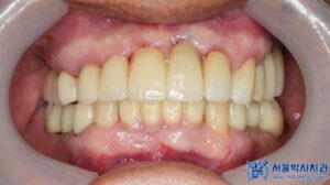
환자분께서는 최종 보철을 장착한 후,
음식을 씹는 느낌도 자연스럽고
앞니가 예쁘게 만들어져 매우
만족스럽다고 하셨으며,
처음 내원하셨을 때와 비교하면
얼굴 표정도 한결 밝아지셨습니다.

 

또한 처음에는 임플란트 수술이 무섭고
부담스러웠는데 수술도 생각보다 빠르고
아프지 않아서 너무 좋았으며,
무절개 방식 덕분에 부기도 거의 없었고,
임시 치아를 바로 해줘서 불편함이
없었다고 하셨습니다.

 

신흥동치과

 

앞니 임플란트는 기능적인 측면뿐만 아니라
심미적인 부분도 고려해야 하기 때문에
정밀한 계획과 세심한 치료가 필요합니다.

 

특히, 뼈이식이 필요한 경우에는
더욱 신중하게 접근해야 합니다.

 

신흥동치과

 

신흥동치과 서울박사치과에서는
무절개 임플란트와 체계적인 치료 계획을 통해
환자분이 안정적이고 편안하게
치료받을 수 있도록
앞으로도 최선을 다하겠습니다.

 

감사합니다.

 

*모든 증례 사진은 의료법 제23조, 제 56조에 의거하여,
당사자의 동의하에 게시하였습니다.
*치료 사진은 모두 본원에서 치료한 환자분의 사진입니다.
*치료 사진은 모두 동일인의 사진이며,
동일조건에서 촬영하였습니다.
*개인의 차이에 따라 시술 및 수술 후
부작용이 발생할 수 있으며,
의료진과 충분한 상담을 받으시기 바랍니다.

신흥동치과 신흥동치과


 

문의 전화

031-747-2884

네이버 예약

네이버 예약