신흥동치과 당뇨가 있는데 임플란트도 가능한가요? 보험 임플란트와 크라운 치료사례

신흥동치과

 

임플란트 수술을 고려할 때,
전신질환이 있는 분들은
걱정이 많으실 수밖에 없습니다.

 

특히 당뇨나 고지혈증 같은 질환을 앓고 계신 분들은
상처 회복이 더딜 수 있고 지혈이 잘되지 않는
경우도 있어 임플란트 시술이 더욱 신중해야 합니다.

 

하지만 이러한 전신질환이 있다고 해서
반드시 임플란트를 할 수 없는 것은 아닙니다.

 

철저한 사전 검사와 무절개 임플란트를 통해
수술을 받는다면 충분히 좋은 결과를 얻을 수 있습니다.

 

오늘은 당뇨와 고지혈증을 앓고 계신
환자분의 임플란트 식립 사례를 알려드리겠습니다.

 

신흥동치과

 

위 환자분께서는 예전에 다른 치과에서
아래쪽 어금니에 임플란트를 하셨었는데,
사용하시던 임플란트가 파절되면서
제대로 기능하지 못해 불편함을 느끼시곤
신흥동치과 서울박사에 내원해 주셨는데요.

 

이로 인해 식사할 때도 불편함이 크셔서
다시 임플란트를 해야 할지
고민이 많다고 하셨습니다.

 

 신흥동치과 신흥동치과

 

당뇨가 있으신 분들은 일반인에 비해
지혈이 잘 되지 않고 상처 회복이 더딜 수
있기 때문에 임플란트 수술할 때
더 주의가 필요한데요.

 

환자분께서도 당뇨가 있다 보니 수술 후 회복이
잘될 지에 대한 걱정이 크셨지만 서울박사치과에서
전신질환을 가진 환자분들의 임플란트 경험이
많다는 설명을 듣고 수술을 진행하기로 하셨습니다.

 

신흥동치과

 

우선, 환자분이 복용 중이신 약과 혈당,
혈압을 면밀히 체크한 후
수술을 진행하기로 했습니다.

 

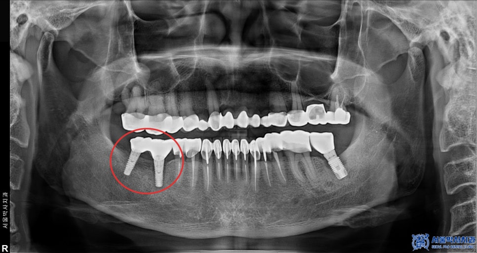
오른쪽 아래 기존 임플란트 중 뒤쪽 큰 어금니는
임플란트와 인공 치아를 연결해주는 부분이 파절되었고
앞쪽 큰 어금니 임플란트는 염증으로 인해
상태가 좋지 않았기 때문에
제거 후 재수술을 진행해야 했습니다.

 

신흥동치과

 

서울박사치과에서는 전신질환을 가진
환자분들도 임플란트 식립을 안정적으로
진행하실 수 있도록 ‘무절개 임플란트’ 방식을
사용하고 있습니다.

 

일반적인 임플란트 수술은 잇몸을
절개하는 양이 많지만,
무절개 방식은 잇몸을 크게 절개하지 않고
적은 절개만으로 임플란트를 식립할 수 있습니다.

 

이 과정에서 중요한 것은 임플란트가
정밀한 위치와 각도로 식립되는 것입니다.

 

임플란트의 식립각도는 수술 성공률과
직결되기 때문에 작은 오차도 결과에
큰 영향을 미칠 수 있습니다.

 

신흥동치과 서울박사에서는 이를 보완하기 위해
네비게이션 시스템을 활용하여
컴퓨터 시뮬레이션을 통해 미리 식립 위치를
정밀하게 계산하고 수술 가이드를 제작하여
정밀한 위치에 임플란트를 식립합니다.

 

덕분에 수술 시간이 단축되고, 출혈과 부기가 줄어들며,
고령이시거나 당뇨와 같은 질환이 있으신 분들도
편안하게 치료 받으실 수 있고,
환자분들의 회복도 훨씬 빠르게 진행됩니다.

 

신흥동치과

 

이번 환자분 역시 무절개 방식으로
임플란트 수술을 받은 덕분에
부담을 덜 느끼셨고,
회복도 예상보다 빨라
매우 만족하셨습니다.

 

신흥동치과

 

재수술에 만족하신 환자분께서는
추가적으로 위쪽 어금니에도
임플란트 식립을 진행하셨습니다.

 

신흥동치과

 

또한 위쪽 어금니 중 일부는
신경치료 후 크라운 치료로 충분히 유지할 수 있는
상태였기 때문에 발치를 진행하지 않고
기존 보철물을 제거한 후,
신경치료를 진행하여 새롭게
보철 치료를 시행하였습니다.

 

이처럼 서울박사치과에서는
자연치아를 살릴 수 있다면
보존하는 방향으로 치료를 진행합니다.

 

신흥동치과

 

신흥동치과 서울박사치과의 또 다른 장점은
원내 기공소를 보유하고 있다는 점인데요.

 

임플란트 가이드나 보철물,
크라운을 자체 제작할 수 있어
보다 정밀하고 환자분의 구강 상태에
최적화된 보철물을 빠르게 제작할 수 있습니다.

 

신흥동치과

 

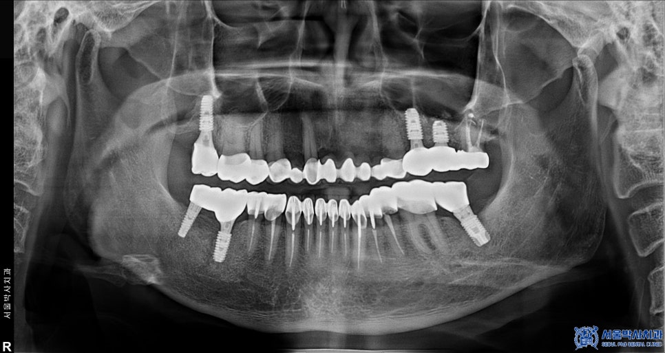
치료 마무리 후 사진입니다.

 

신흥동치과 신흥동치과

 

환자분께서는 임플란트 뿐만 아니라 신경치료 후
크라운 치료까지 진행하면서,
전체적인 구강 건강을 개선할 수 있었습니다.

 

치료가 끝난 후 환자분께서는 감사의 마음을
전하시며 직접 간식까지 사다 주셨습니다.

 

저희 치과를 믿고 맡겨주신 만큼 좋은 결과를
보여드릴 수 있어서 저희도 보람을
느꼈던 치료 사례였습니다.

 

신흥동치과

 

<임플란트 주의사항>

 

임플란트 수술 후에는 몇 가지
주의사항을 잘 지켜주셔야 합니다.

 

수술 후 2~3일 동안은 무리한 운동이나
뜨거운 음식 섭취를 피해주세요.

 

흡연과 음주는 염증을 유발할 수 있으므로,
2~3주간 금연, 금주하는 것이 좋습니다.

 

임플란트 부위는 너무 세게 헹구거나
강하게 칫솔질 하는 것을 피하고,
정기적인 치과 방문을 통해 임플란트에
문제가 없는지 체크하는 것이 중요합니다.

 

신흥동치과

 

전신질환이 있더라도 철저한 사전 검사와
맞춤형 치료 계획이 있다면,
임플란트 수술을 안정적으로 받을 수 있습니다.

 

임플란트 치료를 고민 중이시라면
언제든 편하게 상담받아보세요! 😊

 

감사합니다.

 

*모든 증례 사진은 의료법 제23조, 제 56조에 의거하여,
당사자의 동의하에 게시하였습니다.
*치료 사진은 모두 본원에서 치료한 환자분의 사진입니다.
*치료 사진은 모두 동일인의 사진이며,
동일조건에서 촬영하였습니다.
*개인의 차이에 따라 시술 및 수술 후 부작용이 발생할 수 있으며,
의료진과 충분한 상담을 받으시기 바랍니다.

신흥동치과 신흥동치과