수정구치과 지인 소개로 지방에서 치료하러 왔어요.
재신경치료와 크라운 및 어금니 임플란트 사례

안녕하세요.
수정구치과 서울박사치과입니다.
치아는 한 번 손상되거나
치료를 받았다고 해서
영구적으로 문제가 생기지
않는 것은 아닙니다.
특히 오래전에 신경치료를
받은 치아의 경우,
시간이 지나면서 보이지 않던
뿌리 끝에 염증이 생기거나
미세한 틈으로 충치가 다시 진행되는 일이
비교적 흔하게 발생합니다.
이런 변화는 초기에는 통증이
거의 없어 방치되기 쉽지만,
발견이 늦어질수록
재신경치료나 발치,
임플란트 치료까지 이어질 수 있습니다.

오늘은 재신경치료 및
임플란트를 진행한
사례를 소개해 드리겠습니다.
이번에 내원하신 환자분은
근무지 때문에 세종시에서 거주하고 계시지만
친한 지인분께서 본원을 적극 추천하셔서
거리가 멀지만 서울박사치과에
내원해 주셨습니다.
근무지 근처 타 치과들을
몇 군데 다녀보시고 진단받고 고민하시다가
본원이 지인 소개로 신뢰도 가시고 보철물도
빠르게 제작되는 것이
마음에 들어 하셨습니다.

치아를 확인해 보니,
오른쪽 아래 작은 어금니는
이미 예전에 다른 곳에서
신경치료까지 받았던 부분이나
충치와 염증이 발생하였습니다.
본원은 자연치아를
살리고자 하는 방향으로 먼저
우선적으로 진단하고 정직하게
꼭 필요한 진료만 권해드리고 있습니다.
그래서 해당 치아는 살려보고자
재신경치료를 진행하기로 하였습니다.
재신경치료의 경우,
이미 신경치료를 타 치과에서 진행했던 것을
다시 진행하는 것이기에
일반적인 신경치료보다 까다로워서
경험이 풍부한 의료진에게
받는 것이 중요합니다.

수정구치과 서울박사는
일반적으로 쓰이는 고무재료가 아닌,
고품질 MTA 재료를
신경치료에 사용하고 있습니다.
<MTA 신경치료의 특장점>
1) MTA는 일반적으로 사용되는
고무재료보다 인체 친화적인 재료
2) 밀봉력이 강해, 외부 오염으로부터 보호
3) 강한 재생력으로 염증이 있던 부분의 재생을 도움

이렇게 기존의 재료들을 제거하고
재신경치료를 진행하였습니다.

신경치료를 마무리한 후에는
치아 내부를 안정적으로
보강하는 과정이 필요합니다.
레진을 이용하여
치아의 빈 공간을 채워주었습니다.
이는 약해진 치아에 강도를 보완하고
이후 보철물이 안정적으로
자리 잡을 수 있도록 돕는
중요한 단계입니다.

이후 수정구치과 서울박사의 원내 기공소에서
환자분의 치아 상태에 맞춰
개인 맞춤형으로 제작한 보철물을
장착해 드렸습니다.
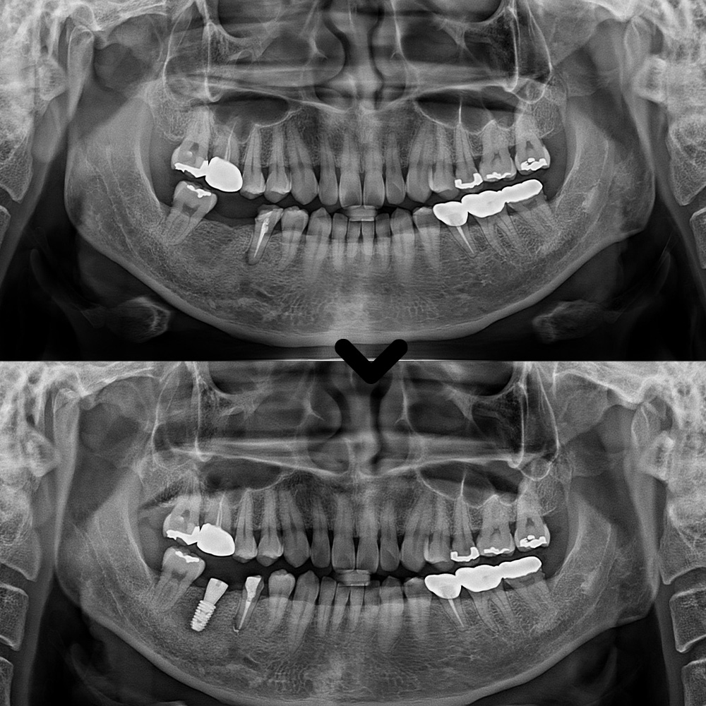
치료 후 엑스레이 촬영을 통해
확인한 결과,
뿌리 끝 염증이 이전보다
눈에 띄게 감소한 것을
확인할 수 있었습니다.

이렇게 앞 치아 마무리 후
뒤 치아의 무절개 임플란트
식립을 진행하였습니다.

<무절개임플란트란?>
컴퓨터 분석을 통해 미리 계산된 경로를 활용하여
임플란트 식립 오차가 줄어들며
수술 가이드를 활용하여
침습범위가 매우 적습니다.
출혈이 적어 회복이
빠른 장점도 있습니다.
무절개임플란트는
수술유도장치를 활용하는데
이는 고성능 3D프린터로
컴퓨터 분석으로 정밀한 계산을
통해 제작됩니다.
이에 따라, 무절개임플란트는
임플란트 식립 위치가 정밀하며,
식립 각도 오차가 줄어듭니다.
식립 각도가 중요한 이유는
식립 각도의 오차가 줄어들수록
임플란트의 성공률이 높아지고
예후가 매우 좋기 때문입니다.

이렇게 임플란트 식립 후
치유기간을 거친 뒤
2개월 후에 최종 임플란트 보철을
세팅해 드렸습니다.
본원 자체적으로 원내기공소를 운영하여
정교하게 디자인된 개인맞춤형 보철물을
빠른 시간에 제작 가능합니다.

<서울박사치과 원내기공소 특장점>
– 10년 차 이상 경력의 전문 치과기공사가 상주하여
퀄리티가 높은 보철물 제작
– 임플란트 맞춤형 지대주를 사용하여
음식물 끼임이 적고
개인 구강 맞춤형으로 보철물 제작
– 보철 제작 시 좋은 재료를 사용하여
내구도가 강한 보철물 제작
– 고품질 보철 재료를 사용하여
심미도가 높고 자연스럽게 제작
– 보철물이 어색할 경우,
수정이나 조정이 빠르게 가능

마무리 후 사진입니다.
환자분께서는 세종시에서
멀리까지 내원하신만큼
가치가 있으셨다며
치료에 대해 만족해 주셨습니다.
또한 원내기공소 운영으로
환자분의 스케줄에 맞춰
보철물을 제작해드릴 수 있었으며
살릴 수 잇는 치아는 재신경치료를 통해
자연치아를 우선적으로 살리시는 부분을
매우 만족해 주셨습니다.
이처럼 수정구치과 서울박사는
치아 하나하나의 가치를 소중히 여기며,
환자분의 상황에 맞는 맞춤 진료로
장기적인 구강 건강을 지켜드리고 있습니다.
위 사례와 같이 오래전
신경치료를 받았던 치아에
염증이나 충치가 생겼다면
방치하지 말고 내원하셔서
진단을 받아보시길 바랍니다!
감사합니다.
*모든 증례 사진은 의료법 제23조, 제 56조에 의거하여,
당사자의 동의하에 게시하였습니다.
*치료 사진은 모두 본원에서 치료한 환자분의 사진입니다.
*치료 사진은 모두 동일인의 사진이며,
동일조건에서 촬영하였습니다.
*개인의 차이에 따라 시술 및 수술 후 부작용이 발생할 수 있으며,
의료진과 충분한 상담을 받으시기 바랍니다.
수정구치과 수정구치과