성남치과 남편 소개로 왔어요.
골다공증 환자분 뼈이식을 포함한 어금니 무절개 임플란트 사례

안녕하세요.
성남치과 서울박사치과입니다.
골다공증은 뼈의 밀도가 감소하고
뼈가 약해지는 질환으로,
주로 노년층에서 발생합니다.
이로 인해 골절의 위험이 높아지며,
일상적인 활동 중에도
쉽게 다칠 수 있습니다.
골다공증을 관리하기 위해
주사나 약물 치료를 받는 경우가 많지만,
이러한 치료를 받는 환자들이
임플란트와 같은 치과 치료를 받을 때
주의해야 할 점들이 존재합니다.
특히, 골다공증이 있는 환자에게
임플란트 수술을 고려할 때,
뼈의 상태와 치유 능력을
충분히 고려해야 합니다.

오늘은 상실된 치아를 비롯한
보철 하방 충치 치아 발치 후
임플란트를 진행한 사례를
소개해 드리겠습니다.
이번에 내원하신 환자분은
전체적으로 검진 희망하셔서
남편분 소개로 성남치과 서울박사에
내원해 주셨습니다.
본원은 가족 소개나 지인 소개가
80% 이상으로, 소개환자가 매우 큰 비중을
차지하고 있습니다.
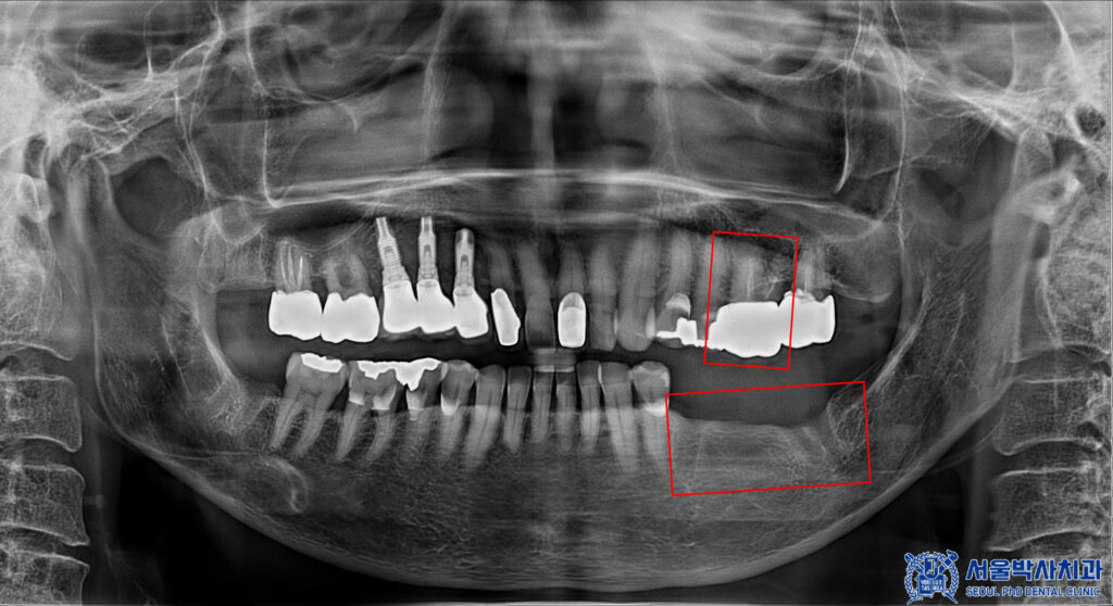
환자분께서는 왼쪽 아래 어금니가
소실된 상태였으며,
왼쪽 위 치아의 보철물 하방으로
충치가 보였습니다.

이러한 경우,
충치 치아 발치 후 상실된 부분을 포함해서
임플란트를 식립 하면 되지만
현재 환자분께서는 골다공증 주사제를
맞고 계신 상태셨습니다.
골다공증 주사제와
치과 치료를 병행하는 것은
주의가 필요하기 때문에
먼저 환자분께서 다니시는 내과에
치과 치료 가능함을 확인한 이후에
안정적으로 치아 치료를 진행하기로 하였습니다.
본원에서는 무절개임플란트를
진행하기 때문에
골다공증이나 당뇨처럼
전신질환이 있으시거나
고령이신 환자분들까지도
임플란트 진행이 가능합니다.
그래서 먼저 왼쪽 아래 상실된 부분의
무절개임플란트 3개를 식립 하기로
계획을 수립하였습니다.

무절개 임플란트
3개 식립을 진행했습니다.
최소침습 방식으로 임플란트를 식립 하여
절개 부위가 적고
출혈도 적었습니다.
그 덕분에 회복이 빠르고,
환자분께서 더욱 편안하게
치료를 받으실 수 있었습니다.
수술받아보신 뒤,
아무렇지도 않으셨다며
매우 만족해 주셔서
왼쪽 위 어금니도 이어서
임플란트를 진행하기로 하였습니다.

먼저 기존 크라운 제거 후
내부를 확인해 보니
전체적으로 충치가 심하여
발치를 진행하였습니다.

발치 후 아물 동안
아래 임플란트 보철 작업을
시작하였습니다.
본을 뜬 후 맞춤형 지대주를 제작하고,
그에 맞는 보철물을 제작하여
교합과 형태, 색상까지
세심하게 조정했습니다.
이렇게 정밀하게 작업된 보철물은
자연스러운 느낌을 주며,
환자분의 편안한 씹는 기능을
지원할 수 있도록
설계되었습니다.

아래쪽의 보철이 마무리된 후,
발치했던 부분의
뼈이식을 포함한 무절개임플란트를
식립 하였습니다.
이때, 골다공증 주사제 시기 또한
본원에서 체크 및 조정하여
안정적으로 수술을 진행하였습니다.

<무절개임플란트>
컴퓨터 분석을 통해 미리 계산된 경로를 활용하여
임플란트 식립 오차가 줄어들며,
수술 가이드를 활용하여
침습범위가 매우 적습니다.
또한 출혈이 적어 회복이 빠른 장점이 있습니다.
무절개임플란트는 위의 사진과 같이
수술 가이드처럼 유도장치를
착용하고 수술을 진행하며
위 장치는 고성능 3D 프린터로
컴퓨터 분석으로 정밀한 계산을 통해 제작됩니다.
이에 따라, 무절개임플란트는
임플란트 식립 위치가 정밀하며,
식립 각도 오차가 줄어듭니다.

<임플란트 식립 각도>
임플란트 식립 각도는
임플란트 성공률에 큰 영향을 미치고
이에 대한 연구도 많습니다.
성남치과 서울박사는 풍부한 임상경력의
의료진과 컴퓨터 분석을 통해
식립 위치를 정밀하게 계산하여,
임플란트 성공률이 높습니다.

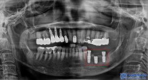
치유기간을 기다린 후
위쪽도 본원 원내기공소에서
직접 제작한 개인 맞춤형
임플란트 보철물을
세팅해 드렸습니다.

<서울박사치과 원내기공소 특장점>
1. 10년 차 이상 경력의 전문 치과기공사가 상주하여
퀄리티 높은 보철물 제작
2. 임플란트 맞춤형 지대주를 사용하여
음식물 끼임이 적고
개인 구강 맞춤형으로 보철 제작
3. 보철 제작 시 좋은 재료를 사용하여,
내구도가 강한 보철물 제작
4. 고품질 보철 재료를 사용하여,
심미도가 높고 자연스럽게 제작
5. 보철물이 어색할 경우,
수정이나 조정이 빠르게 가능

마무리 후 사진입니다.
환자분께 골다공중 주사제 체크를 잘하여
안정적으로 임플란트 수술을
할 수 있게 도와드렸고
무절개임플란트 후
만족도가 매우 높으셨습니다.
역시 소개로 잘 왔다며
좋아해주셨답니다.^^
이처럼 성남치과 서울박사치과는
환자 개개인의 전신 상태와
복용 약물 이력을 충분히 고려하여
진료 계획을 세우고,
정밀한 시술로 만족스러운 결과를
드리기 위해 노력하고 있습니다.
치료의 편안함은 물론,
치료 후 회복 과정까지
세심하게 관리하는 진료를 통해
환자분들이 안심하고 임플란트 치료를
받을 수 있도록 돕고 있습니다.
위 사례처럼 전신질환으로 인해
치과 치료를 고민하고 계시다면
서울박사치과에 내원하셔서
상담을 받아보시길 바랍니다.
감사합니다.
*모든 증례 사진은 의료법 제23조, 제 56조에 의거하여,
당사자의 동의하에 게시하였습니다.
*치료 사진은 모두 본원에서 치료한 환자분의 사진입니다.
*치료 사진은 모두 동일인의 사진이며,
동일조건에서 촬영하였습니다.
*개인의 차이에 따라 시술 및 수술 후 부작용이 발생할 수 있으며,
의료진과 충분한 상담을 받으시기 바랍니다.