산성역치과 치아가 많이 흔들려요.
당뇨, 고혈압 있으신 환자분 뼈이식을 포함한 무절개임플란트 사례

당뇨, 고혈압, 고지혈증과 같은
전신질환을 가지고 있는 환자분들은
치과 치료를 받을 때
특별히 더 세심한 관리가 필요합니다.
특히 임플란트와 같은 외과적 치료는
출혈과 회복 과정이 동반되기 때문에
복용 중인 약물이나 전신 건강 상태를
치과와 내과에서 함께 확인해야 합니다.
예를 들어 아스피린은
혈액 응고를 지연시켜
출혈 위험을 높일 수 있어,
치료 전 담당 주치의와 상의 후
일정 기간 중단한 뒤
시술을 진행하기도 합니다.

오늘은 당뇨, 고혈압 있으신
환자분의 뼈이식을 포함한
무절개임플란트 사례를
소개해 드리려고 합니다.
이번 환자분은
오른쪽 치아들이 많이 흔들려서
임플란트 상담을 받기위해
치과의사인 지인 소개로
산성역치과 서울박사에
내원해주셨습니다.
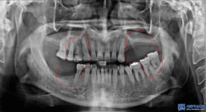
확인해보니,
치아가 상실된 부위도 많고
남아있는 치아들이
흔들리는 상황이였는데요.

더 정밀히 확인하기 위해,
엑스레이 사진을
찍어보았습니다.
왼쪽 아래 사랑니를 포함한 큰어금니는
맞닿는 위 치아가 없어
정출되어 있는 상황이였고
왼쪽 위는 치아가 없을 뿐 아니라
골흡수가 심하게 진행되어
상악동과의 거리가 가까워져
뼈가 부족한 상황이었습니다.
또한 오른쪽 위 어금니들 역시
치아를 지탱하는 잇몸뼈가
많이 흡수되어 있는 것이
확인되었습니다.

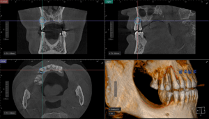
임플란트 식립을 위해서는
3D CT 사진을 촬영하여
더 자세히 보아야 하는데요.
평면적인 사진과 같이
뼈가 많이 녹아있는 것을
볼 수 있습니다.
산성역치과 서울박사치과에서는
염증이 심한 치아들을 발치하고
이후 상악동거상술과 뼈이식을
동반한 무절개 임플란트 수술을
진행하기로 계획하였습니다.
하지만 환자분께서는
당뇨, 고혈압, 고지혈증과 같은
전신질환을 앓고 계셔서
복용중인 약과 환자분의 상태를 확인 후에
아스피린 중단 후 발치와
임플란트를 진행하기로 하였습니다.
또한 당뇨로 인해
치유가 더디신 편으로
수술을 나누어서
진행하기로 하였습니다.

먼저 컴퓨터 분석을 통해
식립 할 위치를
정밀히 분석하였습니다.

이후 발치 후 상악동거상술과
뼈이식을 동반한
무절개임플란트 수술을
진행하였습니다.
위, 아래 총 9개의
임플란트 식립이
이루어졌습니다.

<무절개임플란트>
컴퓨터 분석을 통해
미리 계산된 경로를 활용하여
임플란트 식립 오차가 줄어들며,
수슬 가이드를 활용하여
침습 범위가 매우 적습니다.
위의 사진과 같이
수술 가이드처럼 유도장치를
착영하고 수술을 진행하며,
위 장치는 고성능 3D 프린터로
컴퓨터 분석으로 정밀한
계산을 통해 제작됩니다.
이에 따라, 무절개임플란트는
임플란트 식립 위치가 정밀하며,
식립각도 오차가 줄어듭니다.
특히 당뇨가 있거나 고령의 환자분들은
치유 속도가 더딜 수 있기 때문에,
일반 임플란트를 할 경우
절개 범위가 비교적 크기 때문에
회복 속도가 매우 느릴 수 있습니다.
하지만 무절개임플란트의 경우
절개 범위가 적고
식립되는 부위에 정밀하게 식립되기 때문에
회복 속도가 빠르고 출혈이 적다는
장점이 있습니다.

임플란트 식립 각도는
임플란트 성공률에
큰 영향을 미치고
이에 대한 연구도 많습니다.
산성역치과 서울박사는
풍부한 임상경력의 의료진과
컴퓨터 분석을 통해
식립 위치를 정밀하게 계산하여
임플란트 성공률이 높습니다.

또한, 잇몸뼈의 소실로 인해
뼈이식도 함께 진행하였습니다.
이를 통해 충분한 뼈량을 확보하고,
임플란트가 안정적으로
자리 잡을 수 있는
환경을 조성했습니다.

이후 임플란트와 뼈이식 부위가
치유되는 동안,
임시틀니를 사용하여
기능과 심미적인 부분을
보완하였습니다.
이를 통해 환자분께서는
치료 기간 동안 불편함 없이
일상생활을 이어갈 수 있었습니다.

식립한 임플란트가 잘 치유되어
보철 작업을 시작하였습니다.
보철 작업은 디지털 장비를 활용해
정밀하게 진행되었으며,
환자분의 자연치아와
유사한 기능과 형태를
복원할 수 있도록 최선을 다했습니다.

먼저 맞춤형 지대주와 함께
임시치아를 만들어 적응 기간을
거칠 수 있도록 하였습니다.
이 과정은 환자분이
최종 보철물에 대한 불편함 없이
자연스럽게 적응할 수 있도록
돕는 중요한 단계였습니다.


임시치아로 적응 기간을 거친 뒤
환자분께서는 불편함 없이
잘 쓰셨다고 하셔서
최종 보철 작업을 진행하였습니다.
주변 치아와의 색상 및 형태를
세심하게 맞춰 자연스러운 조화를
이루도록 완성하였습니다.

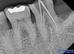
또한, 왼쪽 아래 치아는
맞닿는 위 치아의 상실로 인해
정출되어 교합을 방해할 수 있어,
신경치료 후 크라운 치료를 진행하였습니다.
이를 통해 치아의
기능을 회복하고,
교합을 정상화시킬 수
있었습니다.

이렇게 본원의 원내기공소에서
직접 제작한 개인 맞춤형 보철물을
전부 세팅해드렸습니다.
<서울박사치과 원내기공소 특장점>
✅ 10년 차 이상 경력의 전문 치과기공사가
상주하여, 퀄리티가 높은 보철물 제작
✅ 임플란트 맞춤형 지대주를 사용하여
음식물 끼임이 적고 개인 구강 맞춤형으로
보철을 제작
✅ 보철 제작 시 좋은 재료를 사용하여,
내구도가 강한 보철물 제작
✅ 고품질 보철 재료를 사용하여,
심미도가 높고 자연스럽게 제작
✅ 보철물이 어색할 경우,
수정이나 조정이 빠르게 가능

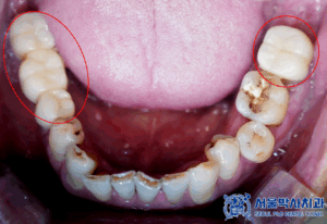
마무리 후 사진입니다.
환자분께서는 처음부터 지인인
치과의사의 소개로 오셨기 때문에,
같은 치과의사의 추천인만큼
매우 신뢰해주셨습니다.
전체적으로 수술을 만족스럽게 받으셨고,
임플란트 외에도 신경치료, 크라운,
치주치료가지 진단 나오신 모든 진료를
받아보실 정도로 만족해주셨습니다.
이처럼 서울박사치과는
환자분의 신뢰를 바탕으로 체계적이고
정밀한 치료를 제공하고 있으며,
모든 치료 과정에서 환자분이
안심하고 치료받을 수 있도록
최선을 다하고 있습니다.
신뢰해주시는 만큼,
저희는 환자분의 건강과 만족을
최우선으로 생각하며,
각 환자에게 맞춤형 치료를
제공할 수 있도록 노력하겠습니다.
감사합니다.
*모든 증례 사진은 의료법 제23조, 제 56조에 의거하여,
당사자의 동의하에 게시하였습니다.
*치료 사진은 모두 본원에서 치료한 환자분의 사진입니다.
*치료 사진은 모두 동일인의 사진이며,
동일조건에서 촬영하였습니다.
*개인의 차이에 따라 시술 및 수술 후 부작용이 발생할 수 있으며,
의료진과 충분한 상담을 받으시기 바랍니다.