산성역치과 충치치료받고 싶어서 원내기공소 있는 곳으로 왔어요.
MTA 신경치료 및 앞니 크라운 치료 증례

안녕하세요.
산성역치과 서울박사치과입니다.
앞니는 웃거나 말할 때 가장 먼저 보이는 치아로
기능적인 역할뿐 아니라
심미적인 중요성도 매우 큽니다.
특히 아래 앞니는 음식물을 자르거나
발음에 관여하는 역할을 하면서도
외부 충격에 상대적으로 노출되기 쉬워,
작은 손상이라도 방치할 경우
문제가 커질 수 있습니다.
치아가 파절되면 겉으로 보이는
손상만 문제가 되는 것이 아니라,
내부의 신경까지 자극을 받아
통증이나 염증으로 이어질 수 있습니다.
이러한 상태가 지속되면
치아 뿌리 주변에 염증이 생기고,
씹을 때 불편감이나 잇몸 통증,
심한 경우 치아를 살리기 어려운
상황으로 발전하기도 합니다.
이처럼 파절과 함께
뿌리 염증이 동반된 경우에는
치아를 보존하기 위한
신경치료가 중요한 선택지가 됩니다.

오늘은 앞니 파절 및 염증으로 인해
신경치료, 어금니 크라운을 진행한
사례를 소개해 드리겠습니다.
이번에 내원하신 분은
다른 곳에서 검진하시면서
충치치료 할 곳이 있다는 것을 아셨는데
원내기공소가 있는 곳에서 치료받으시려고
본원에 내원해 주셨습니다.

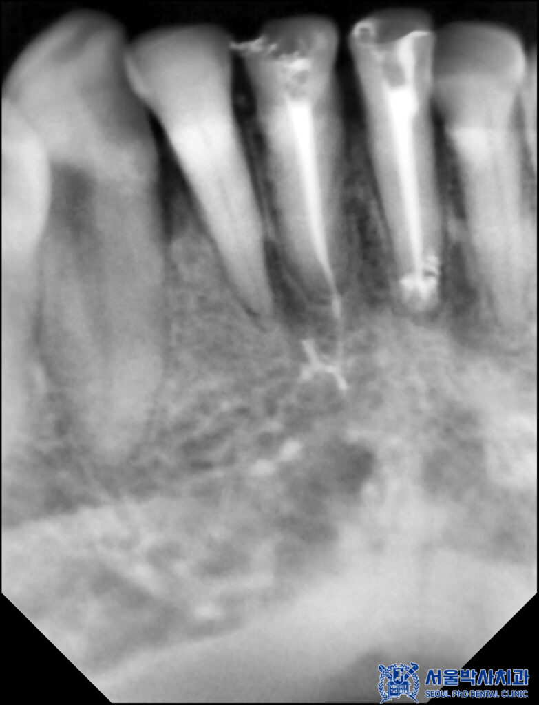
확인해 보니,
아래 앞니의 파절이 있어,
심미적으로 치아가 갈려서
없어진 것처럼 보였습니다.
또한 왼쪽 아래 작은 어금니는
기존 충전재 하방으로
충치가 생겨있는 것을
확인할 수 있었습니다.

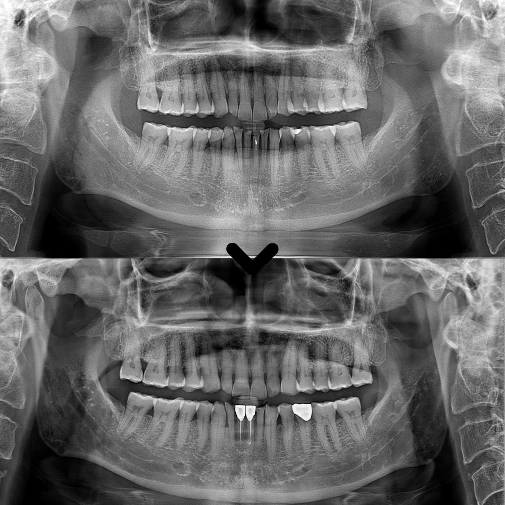
또한 파노라마를 확인해 보니,
왼쪽 아래 앞니는 과거에
신경치료가 시행된 치아였으나
치아 뿌리 끝 부위에 염증 소견이
관찰되었습니다.
이에 따라 기존 치료 부위를
다시 정리하고 염증을 제거하기 위해
재신경치료를 진행하기로
결정하였습니다.
더불어 해당 치아와 맞닿아 있는
옆 앞니 역시 뿌리 끝 염증이 확인되어,
염증의 확산과 추가적인 문제를 예방하기 위해
함께 신경치료를 시행하기로 하였습니다.
아울러 작은 어금니의 경우,
기존 충전재 아래로 충치가 확인되어
충전재와 우식 부위를 제거한 후
치아를 보호하고 기능을 회복하기 위해
크라운 치료를 진행하는 것으로
치료 계획을 수립하였습니다.

먼저 앞니 치료를 진행했습니다.
재신경치료는 이미 신경치료를
한번 했던 곳에 또 다시
신경치료를 진행하는 것이기에
일반적인 신경치료보다 까다로워서
의료진의 실력이 중요합니다.
산성역치과 서울박사 같은 경우는
재신경치료를 많이 진행하고 있으며
성공률이 높아 많은 분들이
치아를 다시 살리려고 찾아오시고 계십니다.

또한 본원은 환자분 본연의 치아를
살릴 수 있는 조금의 가능성도
되돌아보며 진료하고 있으며,
자연치아 살리기 진료를
우선해서 하고 있습니다.
신경치료는 미세한 치아 신경관
하나하나 찾아내어 살리는 진료이기에
정성과 진심을 기울여서 진료하여
자연치아를 오래 사용하실 수 있도록
많은 노력을 들이고 있습니다.

산성역치과 서울박사는
MTA 신경치료를 진행하고 있습니다.
본원 신경치료의 경우,
보이지 않는 곳일지라도
좀 더 좋은 재료를 사용하여
하나를 치료해도 제대로 하고자
노력하고 있습니다.
특히 일반적으로 신경치료할 때
고무성분으로 충전하여
마무리를 하곤 하는데,
본원은 MTA라는 바이오세라믹 성분을 사용하여
신경치료를 하고 있습니다.
MTA 신경치료의 경우,
재료비가 훨씬 비싸지만
장점이 훨씬 많고
좋은 예후를 기대할 수 있어서
서울박사치과에서 고집하는 재료입니다.
| 서울박사치과 MTA 신경치료 | 일반 신경치료 | |
| 성분 | 바이오세라믹 | 고무 |
| 치근재생효과 | 있음 | X |
| 살균효과 | 높음 | X |
| 통증완화효과 | 높음 | X |
| 내원 횟수 | 평균 2~3회 | 4~5회 |
이렇게 MTA 신경치료로
앞니 자연치아를 살려
마무리하였습니다.

이후 크라운 제작을 위해
주변 치아와의 색상을 비교해본 후
원내기공소에서 크라운 제작을 진행하였습니다.

이후 크라운이 완성되어 맞춰보며
교합과 형태, 색상을
꼼꼼하게 확인하였습니다.
씹을 때 불편함은 없는지,
주변 치아와의 조화는 자연스러운지 점검한 뒤
미세한 조정을 거쳐
최종적으로 장착하였으며,
기능적·심미적으로 모두
만족할 수 있도록 마무리하였습니다.

또한 왼쪽 아래 어금니도
기존 충전재와 충치를 깨끗하게 제거 후
크라운을 제작하여 세팅해 드렸습니다.

산성역치과 서울박사는 자체 운영 중인
원내기공소에서 1:1 개인 맞춤형으로
크라운을 제작하고 있습니다.
10년 차 이상의 치과 기공사 실장님이 상주하여
정교하고 세밀하게 디자인하여
보철물을 제작합니다.
저작하는데 편하실 수 있도록
기능적인 면뿐만 아니라,
전체적으로 자연치아 모양과 색상 등
자연스럽게 구현이 가능하도록
전문적으로 작업하고 있습니다.
<서울박사치과 크라운의 특장점>
1) 자체 원내기공소에 10년 차 이상의
기공 실장님 상주로 정교한 개인 맞춤형 디자인 가능
2) 우수한 품질의 지르코니아 원재료 사용
3) 고품질 재료 사용으로 내구성 우수
4) 자연치아와 매우 유사한 투명도와
색상 구현이 가능하여 심미성을 높임

이렇게 계획된 치료가
모두 마무리 되었습니다.

마무리 후 사진입니다.
환자분께서는 보철물이
빨리 제작되는 점에서 좋아하셨고
본원의 원내기공소에서 제작한 크라운이
이전보다 심미적으로 훨씬 향상되어
만족해 주셨습니다.
또한 치료 후 2년이 지난 현재까지도
정기검진과 스케일링을 위해
꾸준히 내원하고 계시며,
전반적인 구강 상태도
안정적으로 유지되고 있습니다. 😊
본원은 원내기공소에서 크라운 제작 시
원재료의 품질까지 꼼꼼히 고려해
내구성이 뛰어난 보철물을 제작하고 있어,
해당 환자분의 크라운 역시
현재까지도 문제없이 튼튼하게
잘 사용하고 계십니다.
위 사례처럼 앞니의 파절로 인해
기능과 심미를 모두 개선하길 원하신다면
산성역치과 서울박사에서
정밀한 진단을 받아보시길 바랍니다.
감사합니다.
*모든 증례 사진은 의료법 제23조, 제 56조에 의거하여,
당사자의 동의하에 게시하였습니다.
*치료 사진은 모두 본원에서 치료한 환자분의 사진입니다.
*치료 사진은 모두 동일인의 사진이며,
동일조건에서 촬영하였습니다.
*개인의 차이에 따라 시술 및 수술 후 부작용이 발생할 수 있으며,
의료진과 충분한 상담을 받으시기 바랍니다.
산성역치과