산성역치과 자연치아 살리고 싶어요.
MTA 신경치료, 앞니 크라운과 레진 치료 사례

자연치아를 보존하는 것은
치아 건강을 유지하는 데
매우 중요한 요소입니다.
치아는 한 번 손상되면
원래 상태로 되돌리기 어렵기 때문에
충치나 염증이 발생하더라도
가능한 한 자연치아를 유지하는 방향으로
치료하는 것이 좋은데요.
오늘은 산성역치과 서울박사치과를 찾아주신
환자분의 치료 사례를 통해
자연치아를 보존하는 신경치료와
보철 치료의 과정을 소개해드리겠습니다.

위 환자분은 전체적인 구강 검진을 위해
집 근처에 있는 저희 치과를
방문하셨는데요.
자연치아를 살리는 방향으로
치료를 받고 싶다고 하셨습니다.

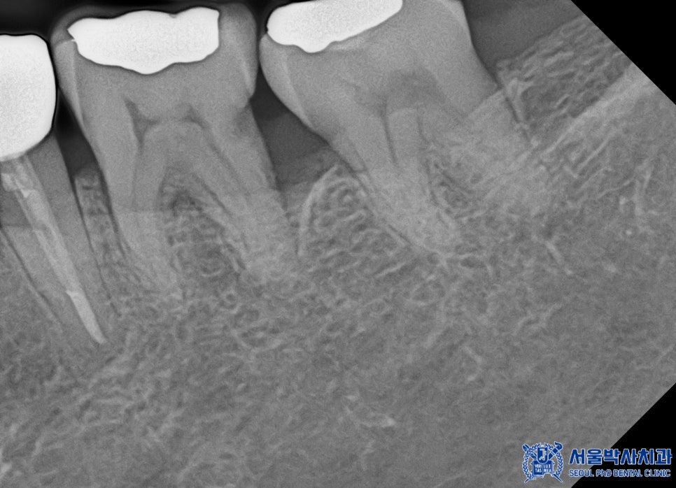
먼저 전체적인 검진 결과,
왼쪽 아래 큰 어금니 부위에서
금 인레이 아래쪽으로 이차 충치와
염증이 발견되었습니다.
해당 치아는 신경 치료가
필요한 상태였기 때문에
서울박사치과에서는
자연치아 보존을 최우선으로 하는
“MTA 신경치료”를 진행하기로 하였습니다.
| 서울박사치과 MTA 신경치료 | 일반 신경치료 | |
| 성분 | 바이오 세라믹 | 고무 |
| 치근재생효과 | 있음 | 없음 |
| 살균효과 | 높음 | 없음 |
| 통증완화효과 | 높음 | 없음 |
| 내원횟수 | 평균 2~3회 | 4~5회 |
서울박사치과에서는
일반적인 신경치료에서 사용하는
고무충전재(Gutta-percha) 대신,
MTA(Mineral Trioxide Aggregate)라는
고품질 충전재를 사용하고 있습니다.
MTA는 생체친화성이 높아 신경치료 후
염증 재발 가능성을 줄여주며,
치아 조직과의 접착력이 우수해
치료 후 치아의 기능을
더욱 안정적으로 유지할 수 있습니다.

환자분도 MTA 신경치료를 통해
자연치아를 보존할 수 있도록
치료를 진행하였으며,
신경치료 마무리 후에는
크라운을 제작하였습니다.

서울박사치과는
자체 원내 기공소를 운영하고 있어,
크라운 제작 과정에서 보다 정밀하고
맞춤형 치료가 가능합니다.

<서울박사치과 크라운의 차별점>
산성역치과 서울박사치과의
보철물은 일반적인 크라운과
차별화된 몇 가지 강점이 있습니다.
1. 12년 이상 경력의 기공사가 직접 디자인
숙련된 기공사가 정밀한 디자인을 적용하여
치아의 모양과 색상을 자연스럽게 구현합니다.
2. 디지털 장비를 활용한 정밀 제작
디지털 스캔과 3D 밀링 기술을 통해
오차를 줄여 환자의 구강 구조에
딱 맞는 보철물을 제작합니다.
3. 고품질 원재료 사용
심미성이 뛰어난 세라믹 및 지르코니아 재료를
사용하여 자연치아와 유사한 색감을 재현하며,
내구성이 높아 오랫동안 사용할 수 있습니다.
4. 1:1 개인 맞춤형 제작 및 빠른 수정 가능
원내 기공소에서 직접 제작하기 때문에
수정이 필요할 경우
신속하게 대응할 수 있습니다.
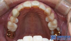
환자분께서는 새로운 크라운을 장착한 후,
자연스럽고 깔끔하다며
만족감을 표현하셨습니다.

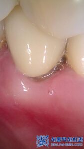
문제가 있던 왼쪽 아래 큰 어금니 이외에도
검진을 진행하는 과정에서 오른쪽 송곳니와
왼쪽 아래 작은 어금니에 기존 타 치과에서
시술한 보철물이 있었는데,
시간이 지나면서 일부 변색된 부분이
눈에 띄었습니다.
이는 보철물 주변으로 우식이
진행된 것으로 보였는데요.
치료를 위해 기존 보철물을 제거하고
새로운 크라운으로
교체하기로 하였습니다.

또한 추가적으로
환자분의 앞니 부분에서
치경부 마모가 진행된 것이
확인되었습니다.
치경부 마모는
잇몸 부위 치아가 깎이는 현상으로,
시간이 지나면 시린 증상이
발생할 수 있습니다.
이에 따라,
치경부 레진 치료를 진행하여
마모된 부분을 메꾸어
치아를 보호해 드렸습니다.

<크라운 관리 방법>
보철물 치료를 받은 후에도
올바른 관리가 필요합니다.
1. 양치질은 부드러운 칫솔로 꼼꼼히
특히, 크라운과 잇몸 경계 부위를
신경 써서 닦아야 합니다.
2. 치실과 치간 칫솔 사용
보철물 주변에는 음식물이 끼기 쉬우므로
치실이나 치간 칫솔을 이용해
청결을 유지하세요.
3. 딱딱한 음식 조심하기
크라운이 깨질 위험이 있으므로
과도하게 딱딱한 음식은
피하는 것이 좋습니다.
4. 정기적인 치과 검진 필수
6개월에 한 번씩 치과를 방문하여
크라운 상태를 점검받는 것이 중요합니다.

이번 치료를 통해 환자분은 자연치아를
보존하면서도 보철물 교체로
심미성과 기능성을
동시에 개선할 수 있었습니다.
산성역치과 서울박사치과는
항상 환자분들의 구강 건강을
최우선으로 생각하며
보다 나은 치료 방법을
제공하기 위해 최선을 다하고 있습니다.
자연치아를 보존하는 것이
가장 좋은 치료라는 점을 기억하며,
정기적인 검진과 올바른 치아 관리를 통해
건강한 치아를 유지하시길 바랍니다.
자연치아 보존과 보철 치료에 대해
궁금하신 점이 있다면
언제든지 서울박사치과에 문의해주세요! 😊
*모든 증례 사진은 의료법 제23조, 제 56조에 의거하여,
당사자의 동의하에 게시하였습니다.
*치료 사진은 모두 본원에서 치료한 환자분의 사진입니다.
*치료 사진은 모두 동일인의 사진이며,
동일조건에서 촬영하였습니다.
*개인의 차이에 따라 시술 및 수술 후
부작용이 발생할 수 있으며,
의료진과 충분한 상담을 받으시기 바랍니다.