산성동치과 잇몸이 붓고 이가 시려요.
MTA 신경치료와 어금니 크라운으로 자연치아 살린 사례

안녕하세요.
산성동치과 서울박사치과입니다.
치아는 겉으로 보기에
문제가 없어 보여도,
안쪽에서는 시간이 지나며
변화가 생길 수 있습니다.
특히 오래 전에
크라운 치료를 받은 치아는
외부 자극으로부터 보호되고 있어
통증이나 이상을 느끼기
어려운 경우가 많습니다.
하지만 크라운 안쪽의
치아와 신경은 여전히
살아 있는 조직이기 때문에,
미세한 틈이나 과거의 손상,
노화 등의 영향으로 염증이
서서히 진행될 수 있습니다.
이러한 염증이 치아 뿌리 끝까지 퍼지면
잇몸뼈에 염증 병소가 생기고,
씹을 때 불편감이나 둔한 통증,
혹은 아무 증상 없이
우연히 발견되기도 합니다.
이 경우 겉의 크라운 상태와 관계없이
치아 내부를 치료하는
신경치료가 필요할 수 있습니다.

오늘은 기존 크라운 치아의
뿌리 끝 염증으로 인해
신경치료를 진행한 사례를
소개해 드리겠습니다.
이번에 내원하신 분은
타 치과에서 예전에 크라운 진행한 곳이
시리면서 붓고 피가 나고 욱신거리는
통증으로 인해 산성동치과 서울박사에
내원해 주셨습니다.

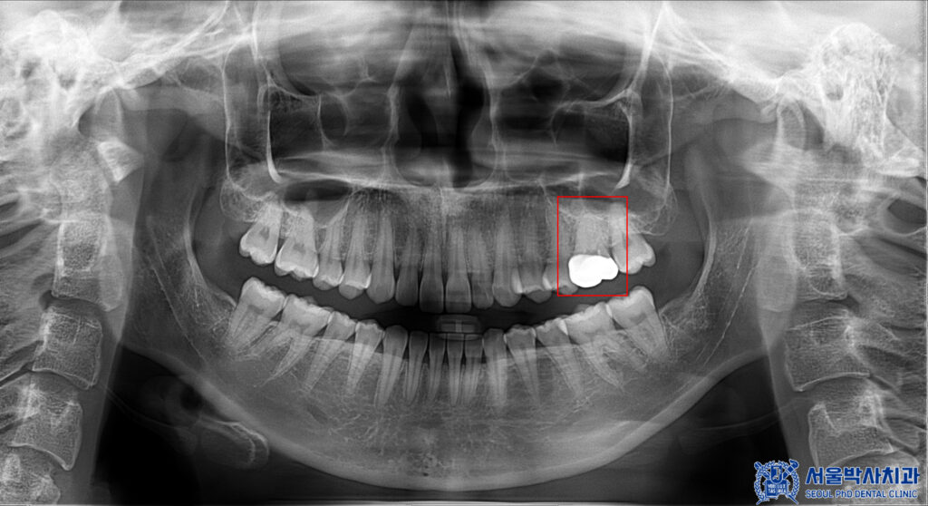
파노라마를 촬영하여 확인해 보니,
뿌리 쪽에 염증이 있는 것을
볼 수 있었는데요.
겉으로 보이는 크라운에는
특별한 문제가 없어 보였지만,
방사선 사진상 치아 뿌리 끝 주변으로
뼈가 손상된 소견이 확인되었습니다.
이는 치아 내부 신경에 염증이 생기면서
뿌리 끝까지 번진 상태로,
추가적인 치료가 필요한 상황이었습니다.

CT상에서도 뿌리 끝 부위에
염증 병소가 보다
명확하게 확인되었습니다.
파노라마에서는 평면적으로 보였다면,
CT 촬영을 통해 염증의 위치와 범위,
주변 뼈 손상 정도까지
입체적으로 확인할 수 있었고,
그 결과 해당 치아는 신경치료가
필요한 상태임을 판단할 수 있었습니다.
그래서 산성동치과 서울박사에서는
자연치아를 살리기 위해
MTA 신경치료를 진행하기로
계획을 수립하였습니다.

먼저 기존 크라운을 제거하여
신경치료를 진행할 수 있도록
접근로를 확보하였습니다.

이후 감염된 신경 조직을 제거하고
뿌리 내부를 깨끗하게 소독하는 과정을
순차적으로 진행하였습니다.
본원에서는
살릴 수 있는 조금의 가능성도 되돌아보며
진료하고 있으며,
치아 뿌리 하나하나 세심하게 찾고
진심을 기울여서 진료합니다.
또한 신경치료 진행 시에
통증 저감 마취기 등을 활용하여
가능하면 편안하게 치료받아보실 수
있도록 하고 있습니다.

본원에서는 MTA 신경치료를
진행하고 있습니다.
산성동치과 서울박사치과
신경치료의 경우,
보이지 않는 곳일지라도
좀 더 좋은 재료를 사용하여
하나를 치료해도 제대로 하고자
노력하고 있습니다.
특히 일반적으로 신경치료 할 때
고무성분으로 충전하여 마무리를 하곤 하는데
본원은 MTA라는 바이오세라믹 성분을 사용하여
신경치료를 진행하고 있습니다.
MTA 신경치료의 경우
재료비가 훨씬 비싸지만
장점이 훨씬 많고
좋은 예후를 기대할 수 있어서
서울박사치과에서 고집하는 재료입니다.
| 서울박사치과 MTA 신경치료 | 일반 신경치료 | |
| 성분 | 바이오세라믹 | 고무 |
| 치근재생효과 | 있음 | X |
| 살균효과 | 높음 | X |
| 통증완화효과 | 높음 | X |
| 내원횟수 | 평균 2~3회 | 4~5회 |

이렇게 MTA 신경치료로
자연치아를 살린 이후,
크라운을 제작하여
세팅을 진행하였습니다.
본원은 자체 운영중인
원내기공소를 보유하고 있습니다.
10년 차 이상의 기공 실장님이 상주하여
직접 정교하게 개인 맞춤형으로
제작을 하고 있습니다.
지르코니아 크라운을 제작하여
색상도 다른 자연치아 색상과
똑같이 구현하도록 제작합니다.
우수한 품질의 지르코니아 원재료를 사용하여
크라운을 제작하기에
내구성도 우수하지만
자연치아와 매우 유사한 투명도와
색상 구현이 가능하여
심미성을 높입니다.
이렇게 계획된 치료가
모두 마무리되었습니다.

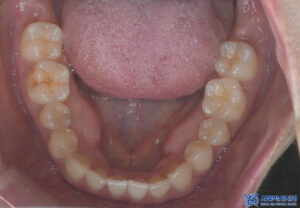
마무리 후 사진입니다.
환자분께서는 본원의 정직함과
신경치료로 자연치아를
살리는 방향으로 진단한 것에
신뢰를 많이 느끼시고
만족해 주셨습니다.
어금니 크라운도
심미적으로나 기능적으로나
자연스럽다며 좋다고
말씀해 주셨습니다.
이처럼 산성동치과 서울박사는
단순히 증상만을 해결하는 치료가 아닌,
치아를 오래 건강하게 사용할 수 있도록
환자 한 분 한 분의 상황에 맞춘
정직한 진단과 책임 있는
치료를 지향하고 있습니다.
위 사례와 같이 오래전 치료를 받았던
치아에 통증으로 개선을 원하신다면
산성동치과 서울박사치과에서
정밀한 진단을 받아보시길 바랍니다.
감사합니다.
*모든 증례 사진은 의료법 제23조, 제 56조에 의거하여,
당사자의 동의하에 게시하였습니다.
*치료 사진은 모두 본원에서 치료한 환자분의 사진입니다.
*치료 사진은 모두 동일인의 사진이며,
동일조건에서 촬영하였습니다.
*개인의 차이에 따라 시술 및 수술 후 부작용이 발생할 수 있으며,
의료진과 충분한 상담을 받으시기 바랍니다.