산성동치과 이가 부어서 음식을 못 씹어요.
무절개임플란트, 앞니 레진과 크라운까지 치료해 드린 사례

안녕하세요.
산성동치과 서울박사치과입니다.
치주염은 잇몸에 염증이 생기는 만성 질환으로,
초기에는 특별한 증상이 없지만
시간이 지나면서 잇몸이 붓고,
출혈이 발생하며 심한 경우
치아를 지탱하는 뼈가 손상될 수 있습니다.
이러한 상태가 악화되면
치아가 흔들리거나 빠지게 되며,
이를 방치할 경우 구강 건강뿐만 아니라
전신 건강에도 심각한 영향을
미칠 수 있습니다.
치주염이 심각해지면
치아를 보존하기 어려운
상황이 될 수 있으며,
이때는 발치와 임플란트와 같은
치료 방법이 필요할 수 있습니다.

오늘은 치주염으로 인해
발치 후 임플란트 및
신경치료와 크라운,
레진치료까지 진행한 사례를
소개해 드리겠습니다.
이번에 내원하신 환자분은
왼쪽 어금니 아래쪽이 많이 부으셔서
음식을 잘 못 씹는 상태로
집 근처 치과를 찾아보시다
산성동치과 서울박사에
내원해 주셨습니다.

확인해 보니,
왼쪽 아래 어금니의
치주염으로 인해
통증이 심한 것으로
확인할 수 있었습니다.
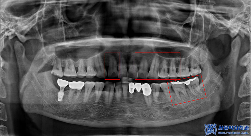
또한 앞니의 충치도 있었으며,
왼쪽 위 작은 어금니
기존 충전재 하방의 충치가
관찰되었습니다.
산성동치과 서울박사에서는
전체적인 치료가 필요하였고
가장 통증을 많이 호소하시는
왼쪽 아래 어금니부터
발치 후 무절개임플란트를
진행하기로 계획을 수립하였습니다.

발치 전 CT를 촬영하여
잇몸과 치아 주위의 뼈 상태를
정밀히 파악한 후,
발치가 필요한 치아와 그 주변 구조에 대한
상세한 정보를 얻을 수 있었습니다.
이를 바탕으로 발치 후 임플란트를
식립할 위치와 각도를 정밀하게
계획하였습니다.

먼저 가장 통증이 심했던
치아의 발치를 진행하였습니다.
발치 후 내부의 염증을
깨끗하게 소파하여
감염이 재발하지 않도록
철저히 치료하였습니다.

이후 무절개임플란트를
진행하였습니다.
본원에서는 무절개로 임플란트를
진행하고 있으며,
컴퓨터 분석을 통해 미리 식립 위치를
시뮬레이션하여 식립 오차를 줄이며,
부기가 많이 없고 회복이
빠른 장점이 있습니다.

<무절개임플란트 방식의 장점>
– 임플란트 성공률에 중요한
식립각도에 대한 오차를 줄임
– 임플란트가 성공적으로 완성되기 위하여
올바른 식립각도가 중요한데
컴퓨터 시뮬레이션을 통해 미리 식립 위치를
계산하는 네비게이션 방식을 활용
– 수술가이드를 수술에 활용하여,
정밀하게 계산된 자리에
임플란트를 식립하므로
무절개로 진행이 가능
– 수술시간 단축, 부기 감소, 출혈 감소, 빠른 회복

또한 본원에서는 살릴 수 있는 자연치아는
살리는 방향으로 진단하며,
살릴 수 있는 조금의 가능성도
되돌아보며 진료합니다.
이에따라 앞니쪽의 경우
충치의 범위가 적어 레진을 이용하여
간단히 때워드렸습니다.

그리고 이전에 다니시던 치과에서
이미 충치치료를 받았으나
충치가 또 발생하여,
기존 충전재를 제거 후
치경부 레진을 진행하였습니다.
치아 색과 유사한 색으로 진행하여
심미적으로 자연스러운 결과를
얻을 수 있었습니다.

이후 임플란트를 진행한 뒤 치아는
타 치과에서 금 인레이를 진행하셨었으나
씹을 때 통증이 심한 치아 중 하나였으며,
인레이 하방으로 충치가 생겨있었습니다.
본원은 자연치아 살리기를
중요시하고 있기 때문에
임플란트를 진행하지 않고
살릴 수 있는 가능성을 되돌아보며
신경치료를 진행하여
치아를 살려보기로 하였습니다.

산성동치과 서울박사는
일반적으로 충전재로 사용되는
고무를 사용하는 것이 아닌
MTA 신경치료를 진행하고 있습니다.
충치를 제거한 후 MTA 신경치료를 진행하고
통증이 줄어든 점을 확인한 후
마무리해 드렸습니다.

MTA는 바이오세라믹 성분으로
일반 재료보다 생체친화적이며
밀봉력이 높아 살균과
치근 재생에 뛰어난 성능을 보입니다.
따라서 신경치료 이후 예후도 훨씬 좋기에
품질 있는 재료를 사용하여
자연치아를 살리고 있습니다.

이후 임플란트의 치유기간을 거치고
뼈와의 결합이 안정적으로
이루어진 것을 확인 후
뒤 치아와 함께 보철 작업을
시작하였습니다.

본원 원내기공소에서 상주하는
10년 차 이상의 전문 치과기공실장님이
정교하게 제작한 개인맞춤형
보철물을 세팅해 드렸습니다.
보철물을 외주를 주지 않고,
직접 모두 제작하고 있기에
제작 기간도 단축되고,
환자분의 구강상태에 맞춤형으로
정밀하게 디자인 또한 가능합니다.

마무리 후 사진입니다.
환자분께서는 원래 다니던 치과에서
보철치료를 받았던 부위가 아프셨는데
본원에서 임플란트 1개를 받아보시고
매우 만족해주셨습니다.
또한 살릴 수 있는 치아는
살리려고 하는 부분이 마음에 드셨고,
모든 치료를 받고나서도
좋았다고 해주셨습니다.
이처럼 산성동치과 서울박사치과는
환자 한 분, 한 분의 상태와 필요를
세심하게 고려하여
맞춤형 치료를 제공하고 있습니다.
위 사례와 같이 치주염으로 인해
통증이 생겨 불편함을 겪고 계신다면
정밀한 진단과 치료를 받는 것이 필요합니다.
감사합니다.
*모든 증례 사진은 의료법 제23조, 제 56조에 의거하여,
당사자의 동의하에 게시하였습니다.
*치료 사진은 모두 본원에서 치료한 환자분의 사진입니다.
*치료 사진은 모두 동일인의 사진이며,
동일조건에서 촬영하였습니다.
*개인의 차이에 따라 시술 및 수술 후 부작용이 발생할 수 있으며,
의료진과 충분한 상담을 받으시기 바랍니다.