산성동치과 위에 앞니 느낌이 이상해요.
MTA 신경치료와 앞니 크라운으로 자연치아 살린 사례

안녕하세요.
산성동치과 서울박사치과입니다.
앞니 브릿지는 치아를 기능적이고
미적으로 복원하는
중요한 치료 방법입니다.
하지만 시간이 지나면서
브릿지 내부에
충치가 생길 수 있습니다.
충치는 초기에는 통증이 없을 수 있지만,
방치하면 보철물에 영향을 주어
치료가 복잡해질 수 있습니다.
이 경우 기존 보철물을 제거하고,
신경 치료를 진행한 후
새로운 브릿지를 제작하는
과정이 필요합니다.
이러한 추가 치료는
환자에게 불편함을 줄 수 있지만,
최적의 결과를 얻기 위해서는
반드시 필요한 단계입니다.

오늘은 기존 앞니 브릿지 제거 후
신경치료 및 재보철치료를 진행한
사례를 소개해 드리겠습니다.
이번에 내원하신 환자분은
예전에 타 치과에서
위쪽 앞니 브릿지를 씌우셨는데,
그 부분이 식사하실 때 느낌이
계속 이상하셔서 내원해 주셨습니다.
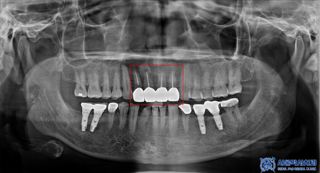
육안으로 확인해 보았을 땐
특별한 이상이 없어
파노라마를 촬영해 보기로 하였습니다.

파노라마를 촬영하고
확인해 보았을 때도,
보철물이 방사선불투과성이라
치아 내부를 정밀하게
확인할 수 없었습니다.
그래서 산성동치과 서울박사치과에서는
해당 브릿지를 제거하여
내부 상황을 확인하기로
환자분과 상의 후 결정하였습니다.

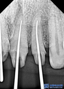
제거를 하고 확인해 보니,
내부로 충치가 생긴 것을
확인할 수 있었습니다.
이로 인해 불편감을
느끼고 계셨을 것으로
예상하였습니다.
본원에서는 충치가 있는 부분을
깨끗하게 제거하고,
신경치료를 진행하여
자연치아를 살리는 방향으로
계획을 수립하였습니다.


충치를 제거하고
신경치료를 시작하였습니다.
본원에서는 환자분 본연의 치아를
살릴 수 있는 조금의 가능성도
되돌아보며 진료하고 있으며,
자여치아 살리기 진료를
우선해서 하고 있습니다.
또한 신경치료는 미세한 치아 신경관
하나하나 찾아내어 살리는 진료이기에
정성과 진심을 기울여서 진료하여
자연치아를 오래 사용하실 수 있도록
많은 노력을 들이고 있습니다.

본원에서는
MTA 신경치료를
진행하고 있습니다.
산성동치과 서울박사치과 신경치료의 경우,
보이지 않는 곳일지라도
좀 더 좋은 재료를 사용하여,
하나를 치료해도 제대로 하고자
노력을 하고 있습니다.
일반적으로 신경치료를 할 때,
고무성분으로 충전하여 마무리를 하지만
본원에서는 MTA라는 바이오세라믹 성분을
사용하여 신경치료를 하고 있습니다.
MTA 신경치료의 경우
재료비가 훨씬 비싸지만,
장점이 훨씬 많고 좋은 예후를
기대할 수 있어서 본원에서
고집하는 재료입니다.
| 서울박사치과 MTA 신경치료 | 일반 신경치료 | |
| 성분 | 바이오세라믹 |
고무 |
| 치근재생효과 | 있음 | X |
| 살균효과 | 높음 | X |
| 통증완화효과 | 높음 | X |
| 내원횟수 | 평균 2~3회 | 4~5회 |

또한 환자분께서는 바쁜 직장인 분으로
시간내기가 어려우신 상태였습니다.
따라서 치아의 상태에 따라
당일 신경치료를 진행하여
당일에 근관치료를
마무리해드렸습니다.
이렇게 MTA 신경치료로
앞니 자연치아를 잘 살린 이후에
원내 기공소에서 크라운
제작을 진행하였습니다.

본원 자체 운영 중인 원내기공소에서
1:1 개인 맞춤형으로
크라운을 제작하고 있습니다.
10년 차 이상의
치과기공사 실장님이 상주하며,
정교하고 세밀하게 디자인하여
보철물을 제작합니다.
또한 저작하는데 편하실 수 있도록
기능적인 면뿐만 아니라,
전체적으로 자연치아 모양과 색 등
자연스럽게 구현이 가능하도록
전문적으로 작업을 하고 있습니다.

<서울박사치과 크라운 특장점>
1) 자체 원내 기공소에 10년 차 이상의
기공실장님 상주로 정교한
개인 맞춤형 디자인 가능
2) 우수한 품질의 지르코니아 원재료를 사용
3) 고품질 재료 사용으로 내구성 우수
4) 자연치아와 매우 유사한 투명도와
색깔 구현이 가능하여
심미성을 높임

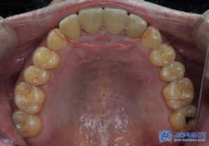
앞니는 심미적인 부위이기 때문에,
브릿지의 모양, 색상, 형태를
정밀하게 확인한 후에
영구접착을 진행했습니다.
환자분의 자연스러운 미소를 위해
세심한 조정을 거쳐
최적의 결과를 도출할 수 있도록
신경을 썼습니다.

마무리 후 사진입니다.
환자분께서는 시간이 많이 없으신
직장인으로 치과치료에 대한
부담이 많으셨으나,
최소내원 신경치료와 당일 신경치료로
세심하지만 속도감 있게
신경치료를 마무리해 드렸습니다.
자체 원내기공소에서
앞니 브릿지를 제작하였기에
시간을 단축시켜서 빠르게
치료를 마무리 하였습니다.
환자분께서 치료받고 나셔서
앞니 쪽 불편했던 부분이
많이 편안해지셨고,
브릿지도 마음에 든다고 하셨습니다.
이처럼 산성동치과 서울박사치과는
환자분들의 시간과 편의를 고려한
맞춤형 치료를 제공하며,
효율적인 치료 과정을 통해
높은 만족도를 보장하고 있습니다.
위 사례처럼 오래전 치료를 받았었던 부위의
불편함이 생겨 해결을 희망하신다면
서울박사치과에 내원하셔서
섬세한 상담을 받아보시길 바랍니다.
감사합니다.
*모든 증례 사진은 의료법 제23조, 제 56조에 의거하여,
당사자의 동의하에 게시하였습니다.
*치료 사진은 모두 본원에서 치료한 환자분의 사진입니다.
*치료 사진은 모두 동일인의 사진이며,
동일조건에서 촬영하였습니다.
*개인의 차이에 따라 시술 및 수술 후 부작용이 발생할 수 있으며,
의료진과 충분한 상담을 받으시기 바랍니다.