단대오거리치과 원내기공소 있는 곳 찾아왔어요
(야간진료만 가능하신 환자분 재신경치료 사례)

안녕하세요.
단대오거리치과 서울박사치과입니다.
치아가 시리거나 찌릿한 통증이 느껴질 때,
많은 분들이 “그냥 참아볼까?” 하고 망설이곤 합니다.
하지만 통증이 계속된다면 신경까지
손상이 진행되었을 가능성이 높습니다.
치아 내부의 신경과 혈관이 모여 있는 부분을
‘치수(신경 조직)’라고 하는데,
충치가 깊어지거나 외상으로 인해
치수가 감염되면 염증과 심한 통증이 발생합니다.
이를 방치하면 결국 치아를 발치해야 할 수도
있기 때문에 신경치료를 통해 치아를 살리는 것이
가장 좋은 방법입니다.
신경치료는 감염된 치수를 제거하고
내부를 깨끗이 소독한 뒤 신경관을 특수 재료로
채워 넣어 치아를 보호하는 치료입니다.

일반적으로 신경치료는 여러 번 내원해야 하는
번거로움이 있지만 서울박사치과에서는
당일에 신경치료를 완료할 수 있어 시간이 부족한
직장인이나 바쁜 분들께서 많이 찾아주십니다.
오늘은 단대오거리치과 본 원에서 당일 신경치료를 진행하신
환자분의 케이스를 소개해 드리도록 하겠습니다.

위 환자분께서는 기존에 다른 치과에서
충치 진단을 받았지만 직장 때문에 시간이
많지 않아 치료를 미루고 계셨다고 합니다.
평소 야간에만 시간이 가능하셨던 터라,
야간 진료가 가능하고 원내 기공소까지 운영하는
저희 치과를 선택하셨다고 하셨는데요.

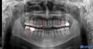
우선, 정밀 검사를 통해 기존에 진단받으셨던
충치 부위를 확인해 보았습니다.
그 결과, 양쪽 위 큰 어금니들은
치아와 치아 사이에 충치가 생겨있었고
오른쪽 앞니는 충치가 매우 심한 상태였습니다.
또한 오른쪽 아래 금으로 씌워진 치아는
씹을 때 마다 찌릿한 느낌이 든다고 하셨습니다.
신경치료는 한 번 제대로 받는 것이 가장 중요하지만,
만약 문제가 생겼다면 더욱 정밀한
재신경치료가 필요합니다.

결과적으로 양쪽 위 큰 어금니
2개는 인접면 우식으로 인해 인레이 치료가 필요했고
앞니는 신경치료 후 크라운 치료가
적합하다고 판단 되었으며,
오른쪽 아래 금니는 크라운 제거 후 재신경치료를
통해 치아를 살려보기로 하였습니다.
서울박사치과에서는 신경치료 당일에
발수(신경 제거)부터 근관 충전까지
완료할 수 있도록 진행하고 있기 때문에,
환자분도 바로 치료를 진행하겠다고 하셨습니다.
먼저 앞니와 오른쪽 아래 큰 어금니
신경치료를 동시에 진행하였는데요.
서울박사치과 신경치료의 경우,
보이지 않는 곳까지도 좋은 재료를 사용하여
세심하게 치료하고 있습니다.
신경치료의 마지막 과정인 근관 충전에서
일반적으로 사용되는 ‘고무 성분’ 대신,
저희 치과는 ‘MTA(바이오세라믹)’를 사용합니다.
MTA는 재료비가 훨씬 비싸지만,
신경치료 후 재감염 가능성을 낮추고
일반적인 신경치료보다 예후가 훨씬 좋기 때문에
서울박사치과에서는 MTA를 고집하고 있습니다.

특히 치아를 살릴 수 있는 모든 가능성을
고려하여 신경치료를 진행하며,
뿌리 하나하나를 정밀하게 찾아 신경을 제거하고
MTA 충전으로 치료의 내구성을 높여 주었습니다.
| 서울박사치과 MTA 신경치료 | 일반 신경치료 | |
| 성분 | 바이오세라믹 | 고무 |
| 치근재생효과 | 있음 | X |
| 살균효과 | 높음 | X |
| 통증완화효과 | 높음 | X |
| 내원횟수 | 평균 2~3회 | 4~5회 |
mta신경치료 이후에는 원내기공소에서
10년차 이상의 기공실장님이 직접 크라운을
디자인하여 제작하게 되는데요.
인레이와 크라운 보철물은 원내 기공소에서
빠르게 제작할 수 있어 환자분들의 시간을
절약해 드릴 수 있습니다.
뿐만 아니라 모양도 맞춤형으로 제작 가능하며,
우수한 품질의 지르코니아 원재료를 사용하여
크라운을 제작하기에 내구성도 우수하고
자연치아와 매우 유사한 투명도와
색깔 구현이 가능합니다.

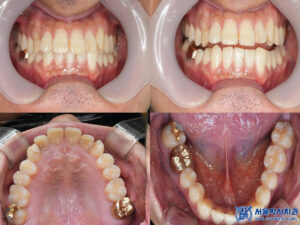
치료 마무리 후 사진입니다.
치료를 마친 후 환자분께서는
“야간에만 시간이 가능해서 고민이 많았는데,
신경치료도 당일에 끝나고 보철물도 빠르게 제작되니
너무 편리했다”라고 말씀하셨습니다.
또, “치료받은 치아들이 너무 편하고 자연스럽다”라며
만족감을 표현하셨습니다.

단대오거리치과 서울박사치과는
앞으로도 환자 한 분 한 분의
소중한 시간을 고려하면서도,
최고의 치료를 제공하기 위해 노력하겠습니다.
바쁜 일정 속에서도 정밀하고 효과적인 치료를
원하신다면, 언제든 서울박사치과를 찾아주세요! 😊
*모든 증례 사진은 의료법 제23조, 제 56조에 의거하여,
당사자의 동의하에 게시하였습니다.
*치료 사진은 모두 본원에서 치료한 환자분의 사진입니다.
*치료 사진은 모두 동일인의 사진이며,
동일조건에서 촬영하였습니다.
*개인의 차이에 따라 시술 및 수술 후
부작용이 발생할 수 있으며,
의료진과 충분한 상담을 받으시기 바랍니다.