태평동치과 앞니 임플란트 하고 싶어요. +뼈이식까지

앞니 임플란트를 진행하기 위해서는
잇몸뼈 이식이 필요한 경우가 많습니다.
첫째, 치아가 상실된 후 오랜 시간이 지나면서
잇몸뼈가 흡수되어
충분한 뼈가 남지 않은 경우입니다.
치아가 빠지면 주변 뼈는 자연스럽게
흡수되는 경향이 있는데,
특히 앞니는 미용적인 이유로
더 많은 뼈가 요구됩니다.
뼈가 얇으면 임플란트가 삽입되더라도 불안정하거나
주변 뼈와의 결합이 어려워질 수 있으며,
임플란트 나사 선이 보이는 등
심미적으로도 문제가 될 수 있습니다.
둘째, 치주질환이나 외상 등으로 인해
앞니의 뼈가 손상된 경우입니다.
이 경우, 치주염이나 외상으로 인해
뼈의 일부가 파괴되어 잇몸뼈가 약해지거나
부족해지는 경우가 많습니다.
잇몸뼈가 부족하면 임플란트가 안정적으로
고정될 수 없기 때문에 상실된 부위에 인공 뼈를
이식하여 뼈의 양을 보충해주는
절차가 필요할 수 있습니다.
뼈 이식 후에는 일정 기간 동안
뼈가 안정적으로 자리를 잡을 때까지 기다려야 하며,
이후 임플란트를 식립하게 됩니다.
이 과정을 통해 앞니 임플란트가 보다
튼튼하고 오래 유지될 수 있게 됩니다.
오늘은 태평동치과 본원에서
앞니 임플란트와 뼈이식을 진행하신
환자분의 사례를 소개해 드리도록 하겠습니다.

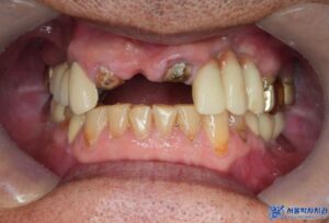
위 환자분은 앞니가 많이 불편해서
임플란트 치료를 고민하고 계셨는데요.
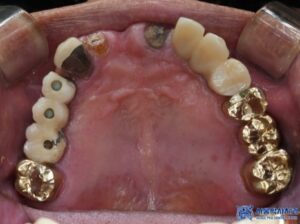
치아를 확인해보니 앞니 두 개는
치아의 뿌리 부분만 남아 있었고,
심한 치주염과 충치로 인해
유지하기 어려운 상태였습니다.
또한, 고혈압과 당뇨 등 만성질환이 있으셔서
치료 진행에 있어 더욱 세심한 접근이 필요했으며,
환자분의 건강 상태를 고려하여 복용 중인
약을 꼼꼼히 확인한 후 치료를
진행하기로 계획하였습니다.

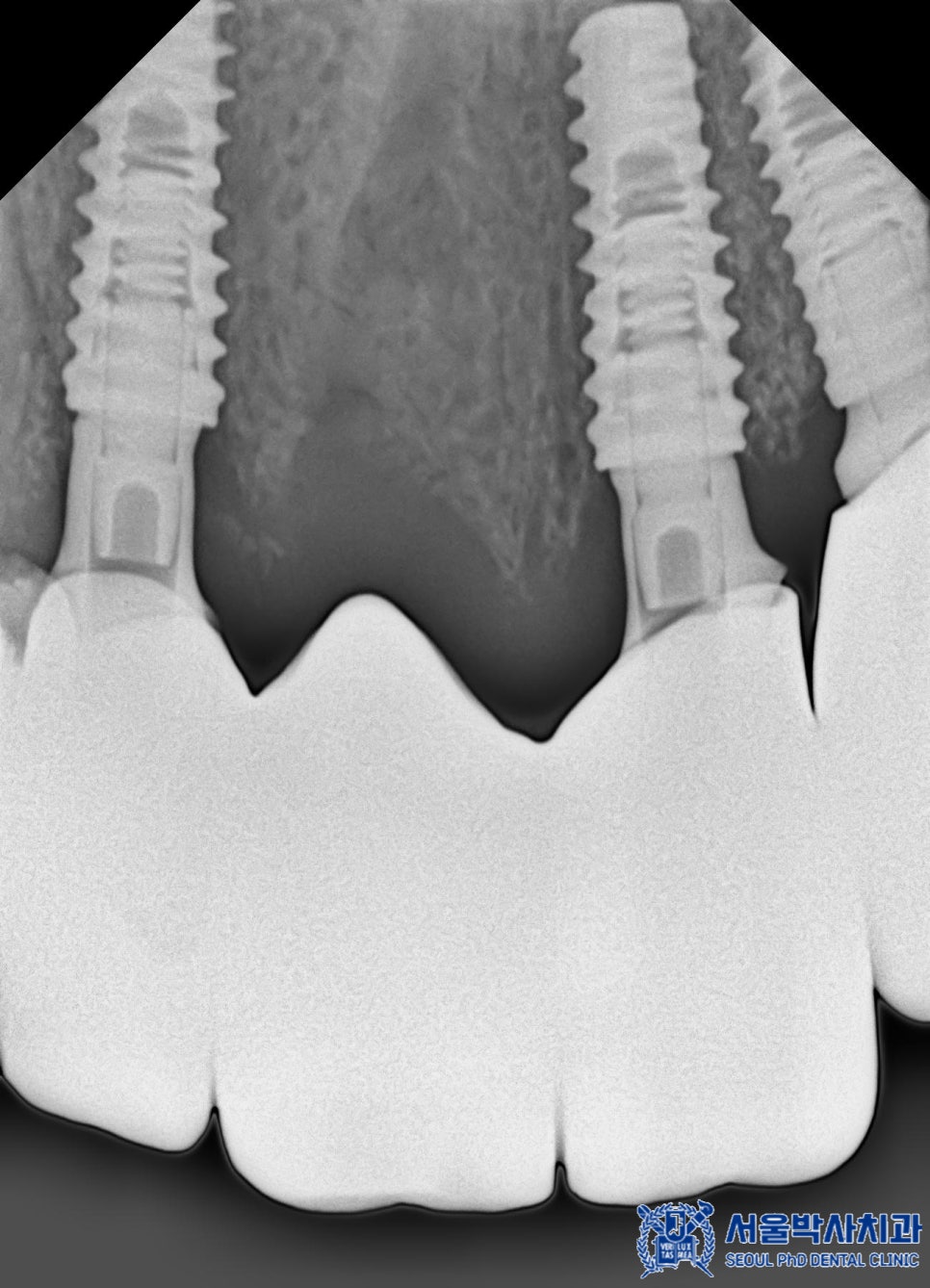
우선, 심한 치주염이 진행된 앞니 두 개를
발치한 뒤 바로 임플란트를
식립하는 방식으로
치료 계획을 세웠습니다.

발치 즉시 임플란트를 식립하면
치료 기간을 단축할 수 있고,
잇몸과 뼈가 자연스럽게 아물면서
임플란트가 더 안정적으로
자리 잡는다는 장점이 있습니다.
다만, 환자분의 경우
치조골이 많이 부족한 상태여서
임플란트 식립과 동시에 뼈 이식도
함께 진행하기로 했습니다.
이 과정에서 환자분께
가장 적합한 방법인
무절개 임플란트로
치료를 진행하였습니다.
태평동치과 서울박사는 기본적으로
무절개 방식으로 임플란트를 진행하고 있으며,
이는 특히 당뇨가 있으시거나 고령으로 인해
상처 치유가 느린 분들께
권장되는 치료 방법입니다.


무절개 임플란트는 컴퓨터 분석을 통해
미리 계획된 경로를 따라 식립하기 때문에
절개가 필요하지 않고 출혈이 적으며
회복 속도가 빠릅니다.

특히 임플란트 성패에 중요한
식립각도에 관한 연구도
뉴스로 발표된바 있습니다.

또한, 위 사진처럼
수술가이드를 제작하여 오차 없이
정밀한 위치에 임플란트를
심을 수 있기 때문에
성공률도 높아지게 됩니다.

환자분께도 이러한 방식에 대해
자세히 설명드린 후
발치와 동시에 임플란트 식립을
진행하였습니다.
치료 후 출혈이 거의 없었고,
부기도 적어 환자분께서
매우 만족해하셨습니다.

치료 후 2개월이 지나고 임플란트가 잇몸과
뼈에 잘 자리 잡았는지 확인한 뒤
최종 보철물을 세팅하는
단계로 넘어갔는데요.
태평동치과 서울박사치과는
원내 기공소에서 보철물을
직접 제작하고 있기 때문에
빠르고 정밀한 보철물 제작이 가능합니다.
특히 10년 이상의 경력을 가진
전문 치과 기공사가 상주하며,
개개인의 구강 구조에 맞춰 정교한 보철물을
제작하기 때문에 기능성과 심미성이 뛰어납니다.
또한, 맞춤형 지대주를 사용하여
음식물 끼임이 적고,
고품질의 내구성이 강한
보철물을 제작하고 있어
장기간 사용하기에도 유리합니다.

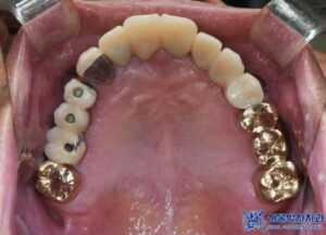
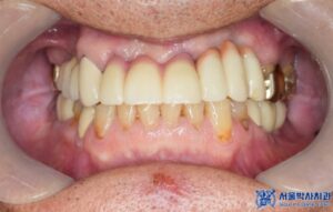
치료 마무리 후 사진입니다.
환자분께서도 최종 보철물을 장착한 후
너무 자연스럽고 불편한 곳도 없다며
매우 만족스러워 하셨습니다.

<앞니 임플란트 후 주의사항>
앞니 임플란트 치료 후에는
올바른 관리가 필요합니다.
부드러운 칫솔을 사용하여
임플란트 주변을 꼼꼼히 닦아야 하며,
치실이나 치간칫솔을 사용하여
음식물이 끼지 않도록
관리하는 것이 중요합니다.
임플란트는 자연 치아와 달리 신경이 없어
충치가 생기지는 않지만,
주변 잇몸이 염증에 취약할 수 있기 때문에
철저한 위생 관리가 필요합니다.
또한, 정기적으로 치과에 내원하여
임플란트와 잇몸 상태를 점검받고
스케일링을 받는 것이 좋습니다.
환자분께서도 이러한 주의사항을 숙지하시고,
정기 검진을 받으시기로 하셨습니다.

태평동치과 서울박사치과는
환자 개개인의 건강 상태와
구강 구조를 고려하여 맞춤 임플란트
치료를 계획해 드리고 있습니다.
앞으로도 환자분들이 편안하게
치료받으실 수 있도록 최선을 다하겠습니다.
*모든 증례 사진은 의료법 제23조, 제 56조에 의거하여,
당사자의 동의하에 게시하였습니다.
*치료 사진은 모두 본원에서 치료한 환자분의 사진입니다.
*치료 사진은 모두 동일인의 사진이며,
동일조건에서 촬영하였습니다.
*개인의 차이에 따라 시술 및 수술 후
부작용이 발생할 수 있으며,
의료진과 충분한 상담을 받으시기 바랍니다.
태평동치과