수정구치과 앞니 임플란트가 흔들려요.
보철물 제거 후 임플란트 보철 제작 사례

서울박사치과를 찾아오시는 환자분들 중에는
기존에 시술받은 임플란트에 문제가 생겨
내원하시는 경우도 많습니다.
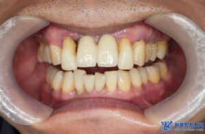
오늘 소개해드릴 환자분도 타 치과에서 받은
상악 앞니 임플란트가 너무
흔들린다며 내원하셨습니다.

임플란트가 흔들린다고 하면
대부분 뼈와 연결된 임플란트 자체에
문제가 있을 가능성을 먼저 의심합니다.

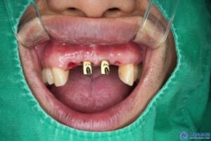
하지만 정밀 검진을 진행한 결과,
임플란트 고정체(뼈 속에 식립된 부분) 자체는
튼튼하게 자리 잡고 있었고,
문제는 그 위에 연결된 보철물과 지대주였습니다.
수정구치과 서울박사는 환자분께 꼭 필요한 치료만
정직하게 권해드리는 것을 원칙으로 하기 때문에
불필요한 재수술보다는 기존 임플란트를
활용하는 방향으로 치료 계획을 세웠습니다.
다만, 기존 보철물과 지대주는 교체가 필요하다고
판단하여 새로운 맞춤형 지대주와
보철물을 제작해드리기로 결정했습니다.
임플란트 보철물과 나사를 연결해 주는
기둥은 기성, 맞춤형 두 가지 방식이 있는데요.
수정구치과 서울박사에서는
기성 어버트먼트가 아닌
맞춤형 지대주를
제작해드리고 있습니다.

<기성 지대주와 맞춤형 지대주 비교>
✅음식물이 잘 끼지 않아 위생적
기성 지대주는 일정한 형태로 제작되어 있어
환자의 잇몸 형태와 완벽하게
맞지 않는 경우가 많습니다.
반면 맞춤형 지대주는 환자의 구강 구조에
맞게 정밀하게 제작되므로,
잇몸과의 밀착력이 뛰어나
음식물이 끼는 현상을 줄일 수 있습니다.
✅강도와 내구성이 뛰어남
맞춤형 지대주는 개개인의 구강 상태에 맞춰
설계되기 때문에 기성 제품보다 강도와
내구성이 뛰어납니다.
특히 앞니와 같은 부위는 씹는 힘보다는
심미적인 요소가 중요하기 때문에,
강도와 심미성을 모두 고려한
맞춤 제작이 필수적입니다.
✅자연스러운 심미적 효과
맞춤형 지대주는 보철물과의 연결 부위가
매끄럽게 이어져 치아가 보다
자연스럽게 보이도록 도와줍니다.
또한 잇몸 라인도 딱 맞게 제작되어
임플란트 치아가 마치 원래
내 치아처럼 보이는 효과를 줍니다.
이러한 장점들로, 서울박사치과에서는
기성 어버트먼트가 아닌
맞춤형 지대주를 사용하고 있습니다.

환자분의 기존 보철물과 지대주를 제거하고
보철물 제작을 위한 스캔을 진행하였습니다.
보통 보철물을 제작하게 되면
1~2주일의 시간이 소요됩니다.
하지만 수정구치과 서울박사치과에서는
원내 기공소를 운영하기 때문에
빠른 제작이 가능합니다.
<서울박사치과 원내 기공소 장점>
-> 10년차 이상 경력의 전문 치과기공사가 상주하여,
퀄리티가 높은 보철물 제작함
-> 보철제작시 좋은 재료를 사용하여,
내구도가 강한 보철물 제작이 가능함
-> 고품질 보철재료를 사용하여,
심미도가 높고 자연스럽게 제작됨
-> 보철물이 어색할 경우,
수정이나 조정이 빠르게 가능함


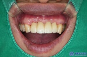
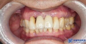
보철물 재제작 후 사진입니다.
제거 후 보철물 제작까지
단 2일 만에 치료를 마무리 하였으며,
환자분께서도 심미적으로
매우 만족해 하셨습니다.

임플란트는 자연치아보다
충치에는 강하지만,
잇몸 질환에는 취약할 수 있기 때문에
꾸준한 관리가 필수적입니다.
부드러운 칫솔을 사용하여 임플란트
주변을 꼼꼼하게 닦아야 하며,
임플란트 사이에는 일반 칫솔로 닦기 어려운
공간이 있기 때문에
치실이나 치간 칫솔을 사용하여
음식물이 끼지 않도록 관리하는 것이 중요합니다.
또한 문제가 없더라도 6개월에 한 번씩
정기적으로 치과를 방문하여 임플란트 상태를
점검받고 필요한 경우 전문가
스케일링을 받는 것이 좋습니다.
임플란트 보철물은
강한 힘을 받을 경우 파손될 수 있으므로
앞니로 음식을 베어먹는 행동은
피하는 것이 좋습니다.

앞니 임플란트 보철물 제작 시에는
기능적인 면뿐만 아니라
심미적인 부분까지 고려해야 합니다.
수정구치과 서울박사치과에서는
맞춤형 지대주와 고품질 보철물을 활용하여
환자분께 꼭 맞는 치료를
해드리고 있습니다.
혹시 기존 임플란트에 문제가 있거나,
보철물이 불편하신 분들은 언제든
수정구치과 서울박사치과를
찾아주시길 바랍니다.
*모든 증례 사진은 의료법 제23조, 제 56조에 의거하여,
당사자의 동의하에 게시하였습니다.
*치료 사진은 모두 본원에서 치료한 환자분의 사진입니다.
*치료 사진은 모두 동일인의 사진이며,
동일조건에서 촬영하였습니다.
*개인의 차이에 따라 시술 및 수술 후
부작용이 발생할 수 있으며,
의료진과 충분한 상담을 받으시기 바랍니다.