
1

1
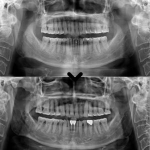
산성동치과 잇몸이 붓고 이가 시려요. MTA 신경치료와 어금니 크라운으로 자연치아 살린 사례
서울박사치과
2026-01-29
산성동치과 잇몸이 붓고 이가 시려요. MTA 신경치료와 어금니 크라운으로 자연치아 살린 사례 안녕하세요. 산성동치과 서울박사치과입니다. 치아는 겉으로 보기에 문제가 없어 보여도, 안쪽에서는 시간이 지나며 변화가 생길 수 있습니다.…
산성역치과 충치치료받고 싶어서 원내기공소 있는 곳으로 왔어요. MTA 신경치료 및 앞니 크라운 치료 증례
서울박사치과
2026-01-20
산성역치과 충치치료받고 싶어서 원내기공소 있는 곳으로 왔어요. MTA 신경치료 및 앞니 크라운 치료 증례 안녕하세요. 산성역치과 서울박사치과입니다. 앞니는 웃거나 말할 때 가장 먼저 보이는 치아로 기능적인 역할뿐 아니라…
신흥동치과 앞니 보철물이 부러졌어요. MTA 신경치료와 앞니 크라운으로 자연치아 살린 사례
서울박사치과
2026-01-13
신흥동치과 앞니 보철물이 부러졌어요. MTA 신경치료와 앞니 크라운으로 자연치아 살린 사례 안녕하세요. 신흥동치과 서울박사치과입니다. 앞니는 심미성과 기능을 동시에 담당하는 부위로, 작은 문제라도 일상생활에 큰 불편을 초래할 수 있습니다.…
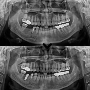
신흥동치과 치아가 너무 아파서 빼고 싶어요 (보험임플란트 및 신경치료 크라운 치료 사례)
서울박사치과
2026-01-09
신흥동치과 치아가 너무 아파서 빼고 싶어요 (보험임플란트 및 신경치료 크라운 치료 사례) 안녕하세요. 신흥동치과 서울박사치과입니다. 치아에 통증이 생기는 다양한 원인 중 하나는 치아 파절 인데요. 특히 신경치료를 진행했던 치아에서도 심한…
태평동치과 소개로 멀리에서 오셨다는 환자분(앞니레진부터 어금니크라운까지 치료 사례)
서울박사치과
2026-01-09
태평동치과 소개로 멀리에서 오셨다는 환자분 (앞니레진부터 어금니크라운까지 치료 사례) 안녕하세요. 태평동치과 서울박사치과입니다. 어금니 통증은 많은 분이 흔히 겪는 문제이지만, 그 원인은 다양할 수 있는데요. 그렇기 때문에 정확한 진단과 체계적인…
신흥동치과 치과 공포증 있는 환자분 MTA 신경치료와 어금니 크라운, 인레이로 자연치아 살린 사례
서울박사치과
2026-01-08
신흥동치과 치과 공포증 있는 환자분 MTA 신경치료와 어금니 크라운, 인레이로 자연치아 살린 사례 안녕하세요. 신흥동치과 서울박사치과입니다. 치과 치료를 떠올리면 통증에 대한 걱정부터 앞서는 분들이 많습니다. 특히 과거의…





